卵巢腺肉瘤
Adenosarcoma of the Overy
概述:
双向分化肿瘤,具恶性间质成分和良性上皮成分
发病部位: 卵巢
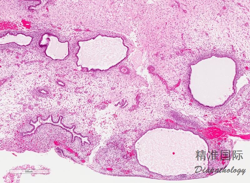
诊断要点:
体积较大,主要为实性,也可囊实性,可能有表面生长现象;
具上皮和间叶双向分化特点;
上皮成分为分布于间质中的腺样结构,常呈子宫内膜样,多为良性,可有轻度异型,无恶性表现;
腺体周围间质细胞常较密集,形成袖套样结构;
间质细胞呈轻-中度异型;
间质可呈乳头状-息肉样突出腺腔或肿瘤表面,呈叶状肿瘤形态;
间质成分常呈低级别,但也可以为高级别,似子宫内膜间质肿瘤;
可能存在异源成分(如横纹肌)或性索成分;
间质过增生可显示横纹肌瘤样分化,这些病例可诊断为腺肉瘤伴肉瘤样过增生。

免疫组织化学染色:
低级别间质成分 CD10. ER、PR 阳性,高级别间质成分 CD10. ER、PR 可丢失。
鉴别诊断:
卵巢癌肉瘤 :上皮成分为恶性,具细胞异型性。