卵巢性腺母细胞瘤
Gonadoblastoma of the Overy
发病部位: 卵巢
诊断要点:
这类肿瘤更多发生于性腺发育不全和核型异常女性,也可见于正常,好发于年轻患者,平均发病年龄 18 岁;
大多数为实性,体积小,一般不超过 3cm。切面褐色或灰白色,常有砂砾感;
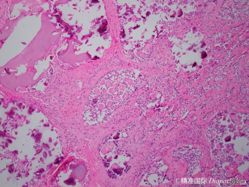
低倍镜下见纤维结缔组织间质分割圆形的细胞巢; 细胞巢由性索型细胞围绕原始生殖细胞形成腺泡样、花冠样或裂隙样结构; 腺泡内可见玻璃样变基底膜样物和钙化,使腺泡融合成为桑椹样团块;
生殖细胞类似于无性细胞瘤细胞,大而圆,胞质丰富,透亮或嗜双色性,核空泡状,核仁突出,可能有核分裂像;
性索细胞核小、深染,胞质多少不等,嗜双色性;
腺泡可因生殖细胞增生浸润而变形,部分病例生殖细胞可浸润间质,可能是向精原细胞瘤转化的早期表现;
2/3 病例间质可见黄体细胞或 Leydig 细胞;
生殖细胞表达 PLAP、CD117. D2-40. OCT、NANOG、SALL4. TSPY;性索细胞常表达 WT1. FOXL2,不表达 SOX9。

免疫组织化学染色:
生殖细胞表达 PLAP、CD117. D2-40. OCT、NANOG、SALL4. TSPY;性索细胞常表达 WT1. FOXL2,不表达 SOX9
分子标记:
常见 46XY(Swyer 综合征)和 45X/46XY,罕见 46XX 核型。
鉴别诊断:
混合型生殖细胞-性索-间质肿瘤,未分类 :常发生于正常性腺,由细胞形态较一致,缺乏巢团样结构。
预后:
纯粹的性腺母细胞瘤是良性。伴有恶性转化的肿瘤,预后取决于继发性成分的肿瘤类型、大小和分期。