皮脂瘤
Sebaceoma
发病部位: 头面部
诊断要点:
多发生于中年以上妇女,好发于头面部,表现为单发肉色或桔黄色的丘疹或结节;可发生于皮脂腺痣或 Muir -Torre 综合征;
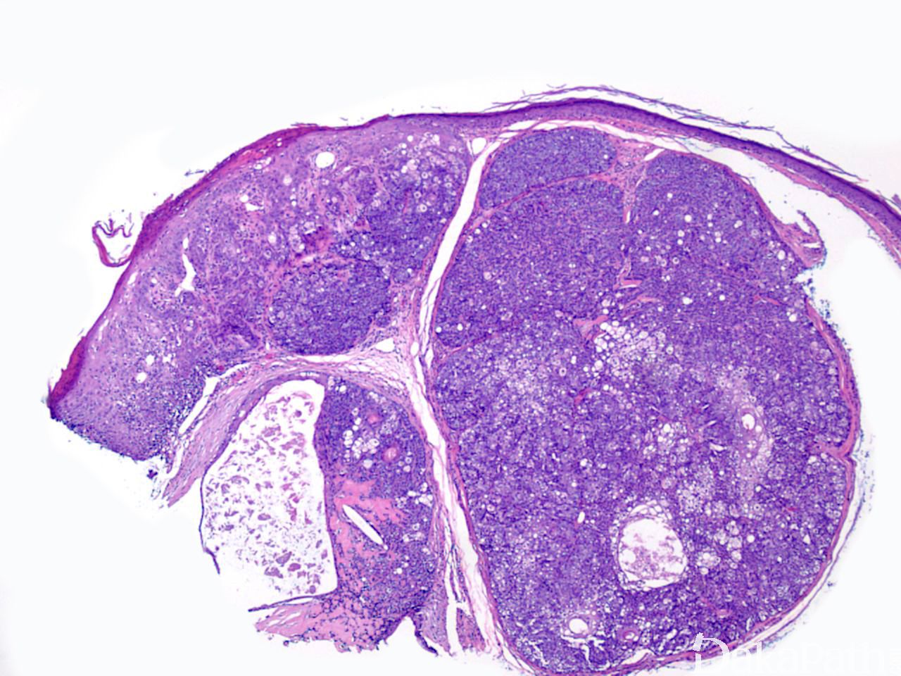
肿瘤境界清楚, 位于真皮内,偶与表皮相连接;
镜下见多数形状不规则的瘤细胞团,细胞团块的中心为成熟脂肪细胞,基底样生发细胞常位于瘤细胞团块的边缘,基底样生发细胞多于成熟脂肪细胞;
成熟的皮脂腺结构少见;
可见有丝分裂像,但无病理性核分裂像,也无细胞异型性。

← 促结缔组织增生性外毛根鞘瘤 皮脂腺毛囊瘤 →