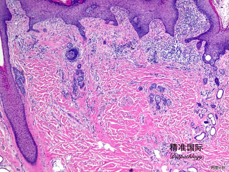
皮脂腺痣

发病部位: 头皮或面部

诊断要点:

  1. 通常出生即有或儿童早期即可出现,表现为头皮或面部孤立性橘黄色斑块;

  2. 镜下见分化成熟的皮脂腺数量增加,腺体可直接插入到表皮内;

  3. 毛囊本身可数量减少或形状异常;

  4. 可伴有大汗腺数量增加;

  5. 表皮可呈表皮痣样改变;