知识库
Enable Dark Theme?
病理技术
免疫组化
分子病理
常规切片
特染染色
电镜技术
病理管理
细胞制片
病理诊断与鉴别诊断
中枢神经系统
乳腺
前列腺
卵巢
口腔
咽、鼻咽
喉
垂体及鞍区肿瘤
子宫体
子宫颈
小肠
涎腺
淋巴造血
甲状旁腺
甲状腺
皮肤肿瘤
皮肤非肿瘤性病变
睾丸
精囊腺
结直肠
耳
肛管
肝及肝内胆管
肺
肾上腺
肾病
肾脏
胃
胃肠共有疾病
胆囊及肝外胆管
胰腺
胸腺及纵膈
膀胱、输尿管、尿道
软组织
输卵管
阑尾
阴道
食管
骨
鼻窦、鼻腔
规范化病理诊断
大体检查规范
肿瘤病理诊断报告模板
免疫组化抗体介绍
#
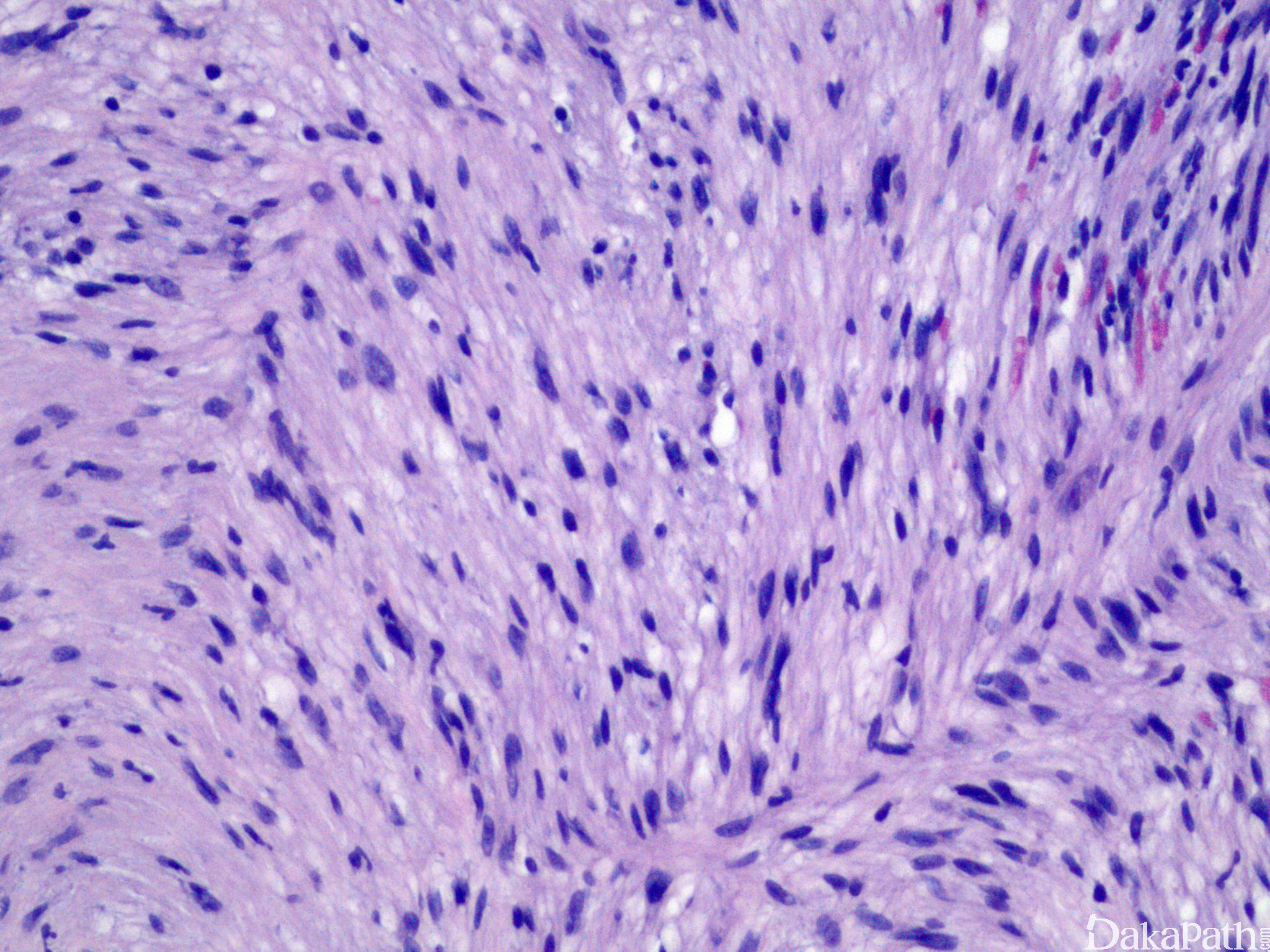
神经鞘瘤
schwannoma
概述:
良性的神经肿瘤。
发病部位:
真皮或皮下的鼓励结节
诊断要点:
肿瘤界限清楚, 周围有纤维性包膜。
肿瘤内有不同的分区:细胞富集区( Antoni A 区) 和细胞稀少区( Antoni B 区)交替分布
3. 特征性的 Verrocay 小体(呈栅栏状排列排列的细胞核)
4. 肿瘤细胞为梭形细胞,核呈波浪状。
5. 较大肿瘤肿瘤内常见厚壁血管。有点血管有玻璃样变
免疫组织化学染色:
S100, SOX-10 阳性
←
神经纤维瘤
孤立性局限性神经瘤
→