新生儿皮下脂肪坏死
Subcutaneous Fat Necrosis of the Newborn
概述:
一般发生于出生后 1 周~6 周婴儿。病因不清。偶伴高血钙和血小板减少。 好发于背、臀、股部,坚实紫红色结节,无痛。结节数周后软化、吸收。全身健康状况尚好,大多数预后良好。
诊断要点:
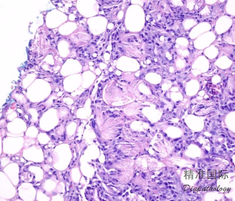
- 表皮真皮正常。
- 皮下脂肪组织小叶及间隔广泛炎细胞浸润,包括淋巴样细胞、组织细胞、异物巨细胞,残余脂肪细胞和吞噬细胞中可见放射状排列的针状裂隙。
- 坏死区有散在钙质沉积。

知识库 Subcutaneous Fat Necrosis of the Newborn
概述:
一般发生于出生后 1 周~6 周婴儿。病因不清。偶伴高血钙和血小板减少。 好发于背、臀、股部,坚实紫红色结节,无痛。结节数周后软化、吸收。全身健康状况尚好,大多数预后良好。
诊断要点:
