硬红斑和结节性血管炎
Erythema Induratum and Nodular Vasculitis
概述:
多见于中青年女性。和结核杆菌有很强的相关性。类似的病变也可因其他感染和药物引起。硬红斑: 与结核相关。结节性血管炎: 与结核无关。小腿后部暗红色结节、斑块,压痛,结节可破渍,溃殇不易愈合。
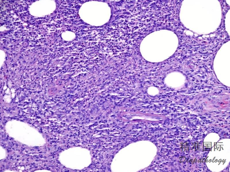
诊断要点:
- 小叶或混合性脂膜炎;
- 中小血管血管炎,动静脉均可累及,但并非所有病变均可见到;
- 常见脂肪缺血坏死;
- 广泛炎细胞浸润伴肉芽肿性炎;
- 皮下组织间隔中见到结核样肉芽肿。

← 结节性红斑 α1—抗胰蛋白酶缺乏性脂膜炎 →