知识库
Enable Dark Theme?
病理技术
免疫组化
分子病理
常规切片
特染染色
电镜技术
病理管理
细胞制片
病理诊断与鉴别诊断
中枢神经系统
乳腺
前列腺
卵巢
口腔
咽、鼻咽
喉
垂体及鞍区肿瘤
子宫体
子宫颈
小肠
涎腺
淋巴造血
甲状旁腺
甲状腺
皮肤肿瘤
皮肤非肿瘤性病变
睾丸
精囊腺
结直肠
耳
肛管
肝及肝内胆管
肺
肾上腺
肾病
肾脏
胃
胃肠共有疾病
胆囊及肝外胆管
胰腺
胸腺及纵膈
膀胱、输尿管、尿道
软组织
输卵管
阑尾
阴道
食管
骨
鼻窦、鼻腔
规范化病理诊断
大体检查规范
肿瘤病理诊断报告模板
免疫组化抗体介绍
#
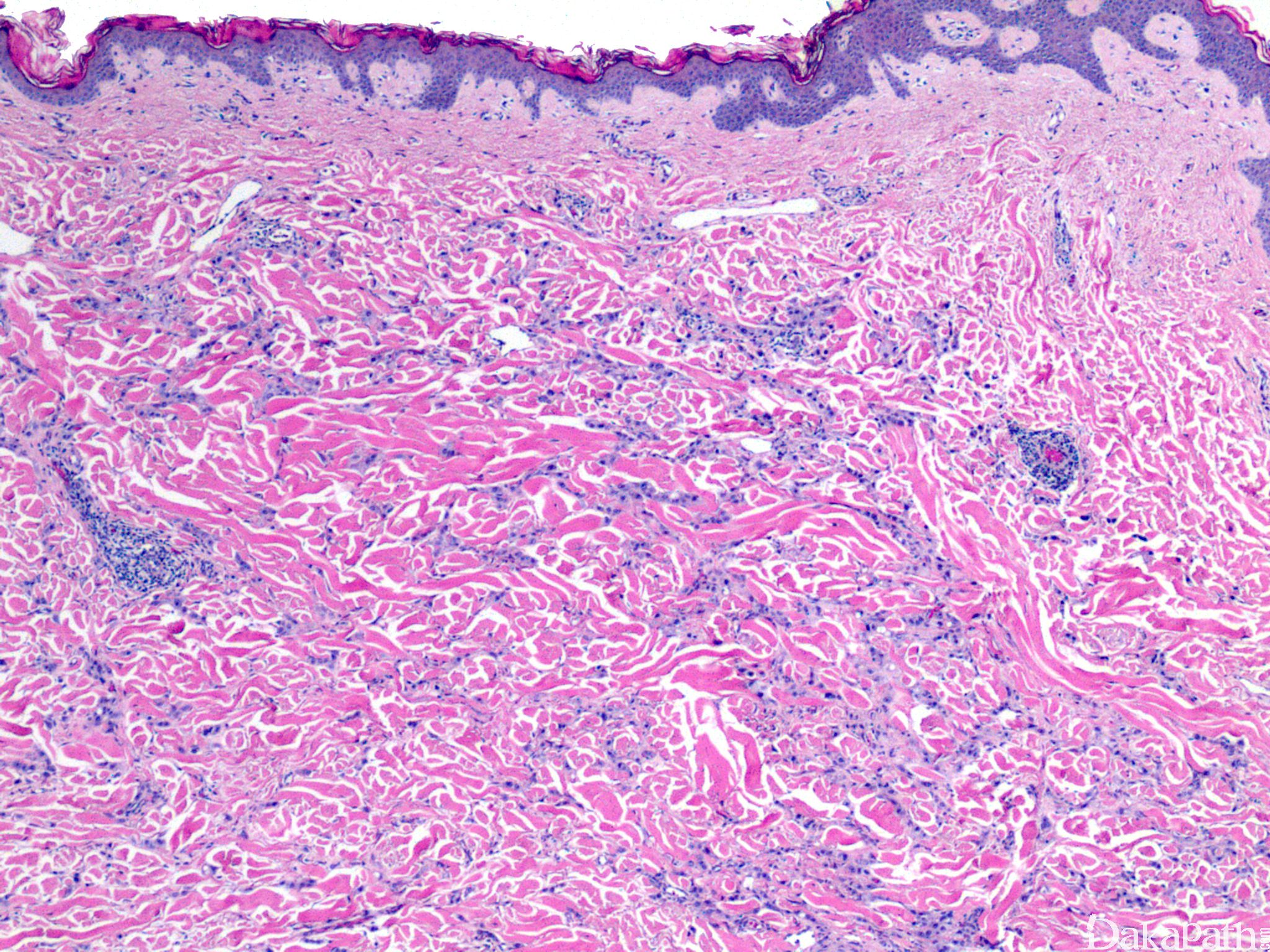
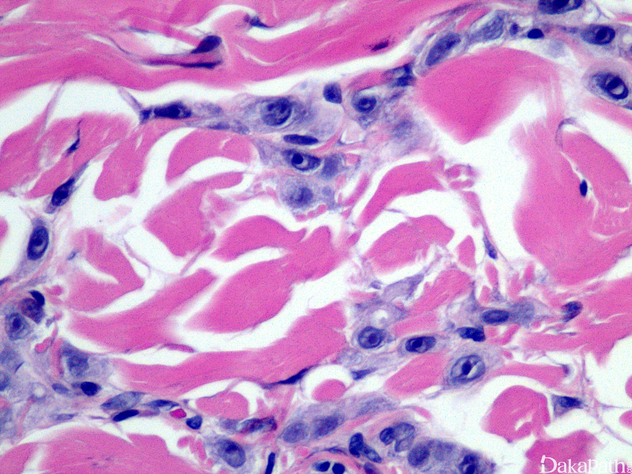
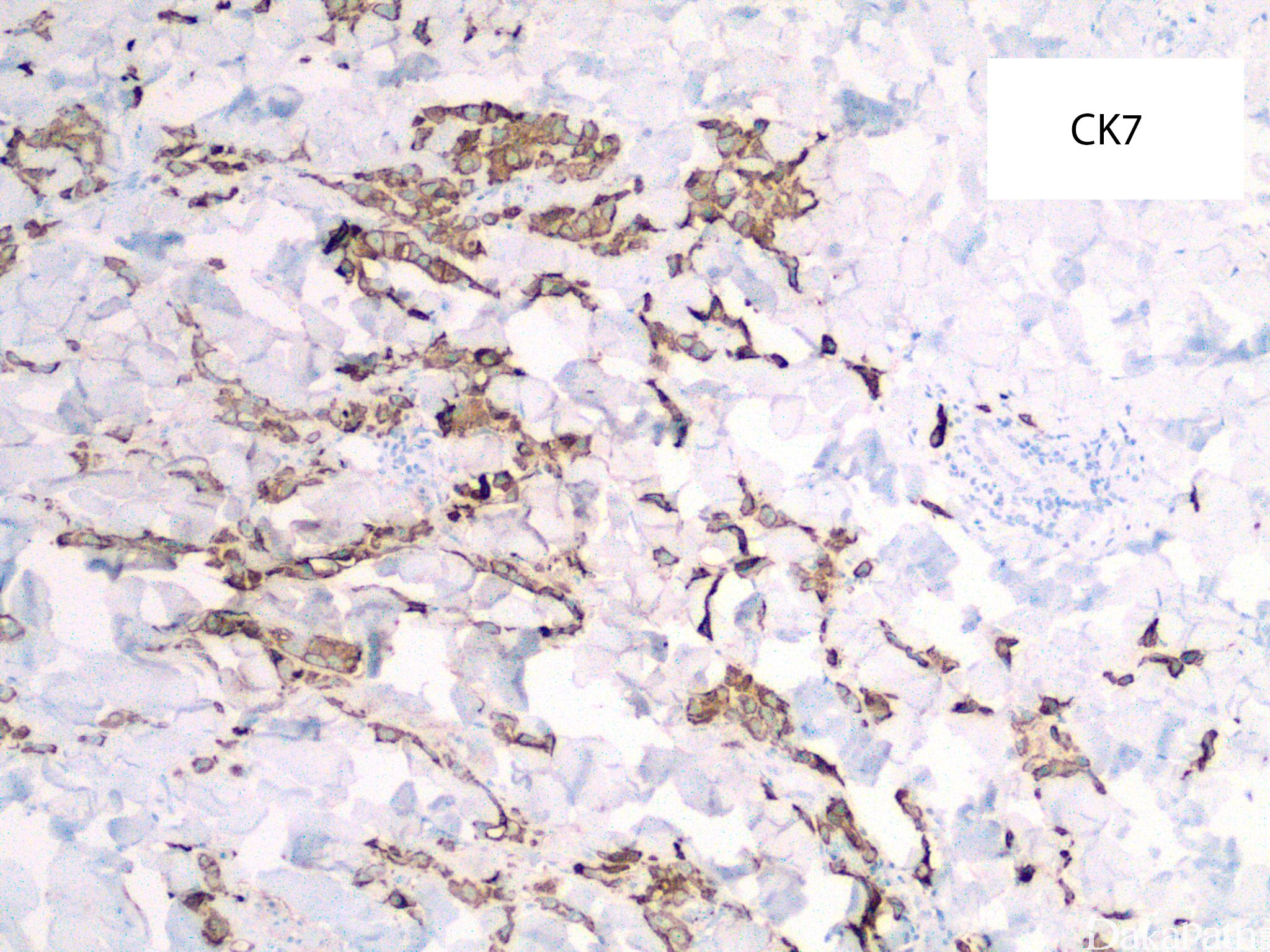
皮肤乳腺转移癌
黄瘤
→