精囊腺腺癌
Adenocarcinoma of Seminal Vesicle
概述:
原发于精囊腺的腺癌,诊断前需除外继发性腺癌。
发病部位: 精囊腺
诊断要点:
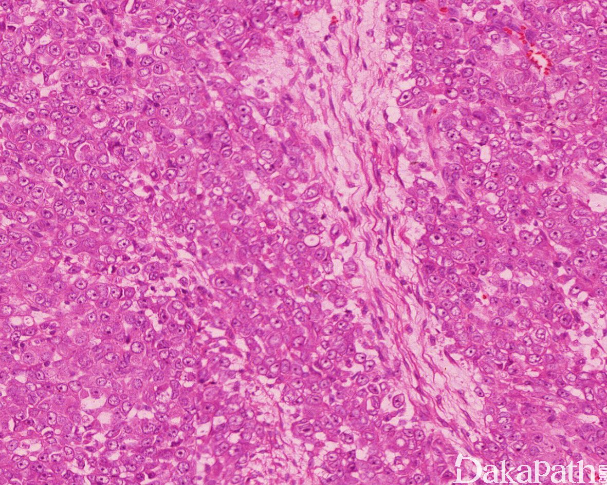
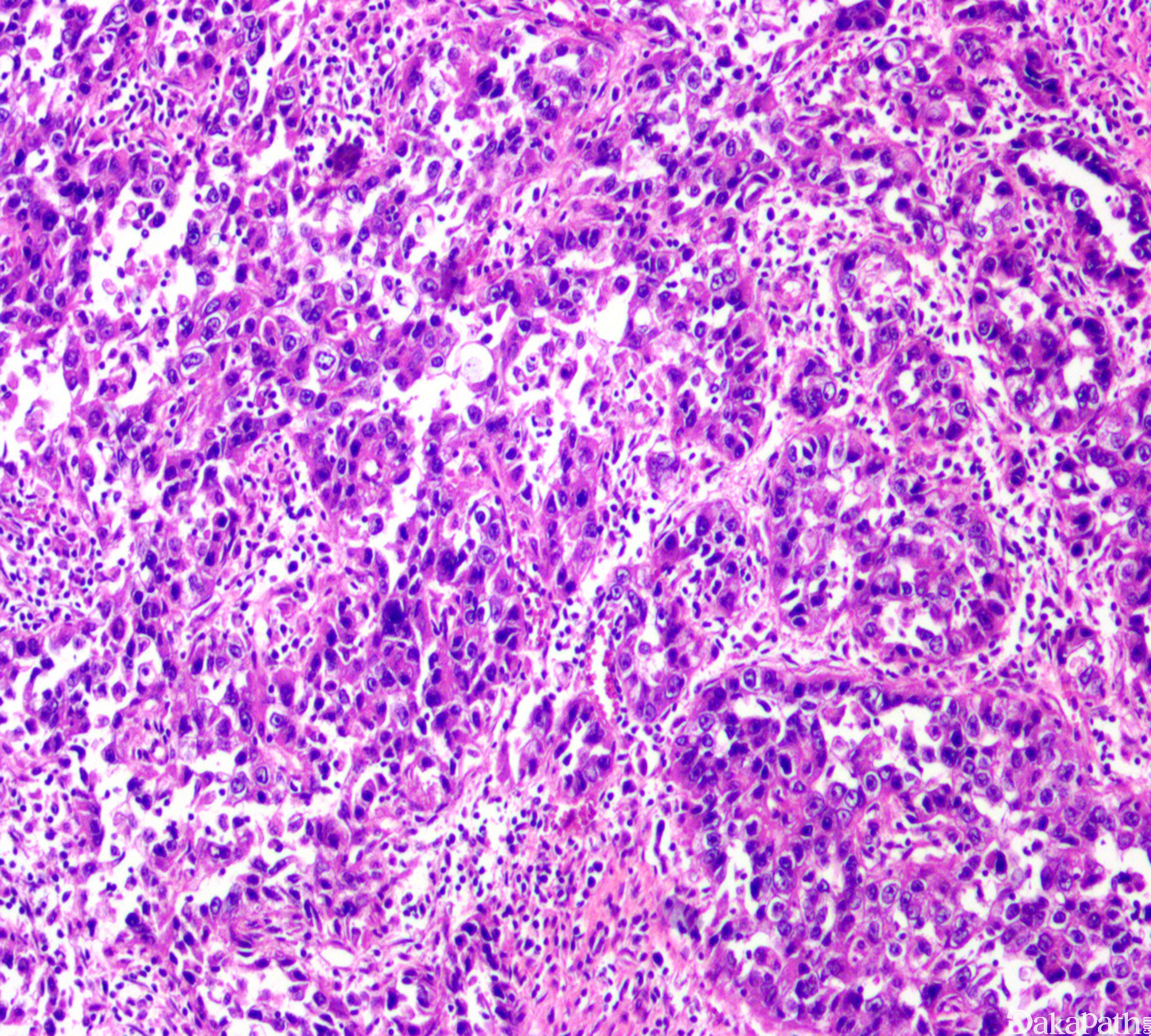
大多数患者为老年男性,肿瘤通常较大(3 ~ 5cm),且常侵犯膀胱、输尿管或直肠;
肿瘤可由具有不同分化程度的乳头状、小梁状及腺性结构以及实性片状混合构成;
肿瘤细胞胞浆可透明,或呈钉突状,偶尔伴黏液分泌。
精囊腺上皮内瘤变可能是其前驱病变。

免疫组织化学染色:
pax-2. PAX8 、CA125. MUC6 阳性;GATA3 部分阳性,PSA、PAP 及 CDX2 均阴性;常见 CK7 阳性/CK20 阴性;CEA 不同程度阳性。
分子标记:
不详
鉴别诊断:
转移性或者继发性累及的腺癌:结直肠腺癌、膀胱腺癌,前列腺腺癌等
预后:
原发性精囊腺腺癌的预后差,生存期一般不超过 3 年;但辅助性激素治疗可使预后改善。
治疗:
手术+术后辅助化疗
病例报道:
A 5-year follow-up of primaryseminalvesicleadenocarcinoma: A case report.
参考文献:
Primary adenocarcinoma of the seminal vesicles. A review of the literature.
Katafigiotis I, Sfoungaristos S, Duvdevani M, Mitsos P, Roumelioti E, Stravodimos K, Anastasiou I, Constantinides CA.Arch Ital Urol Androl. 2016 Mar 31;88(1):47-51. doi: 10.4081/aiua.2016.1.47.