急性阑尾炎
Acute Appendicitis(AA)
概述:
最常见的腹部外科急症,可发生任何年龄,发病高峰在 10-30 岁。
发病部位: 阑尾。
诊断要点:
临床上脐周腹痛然后转移至右下腹,可见恶心、呕吐及发热,不典型表现包括轻微症状、由于穿孔的广泛性腹膜炎及盲肠后阑尾引起的不典型症状。
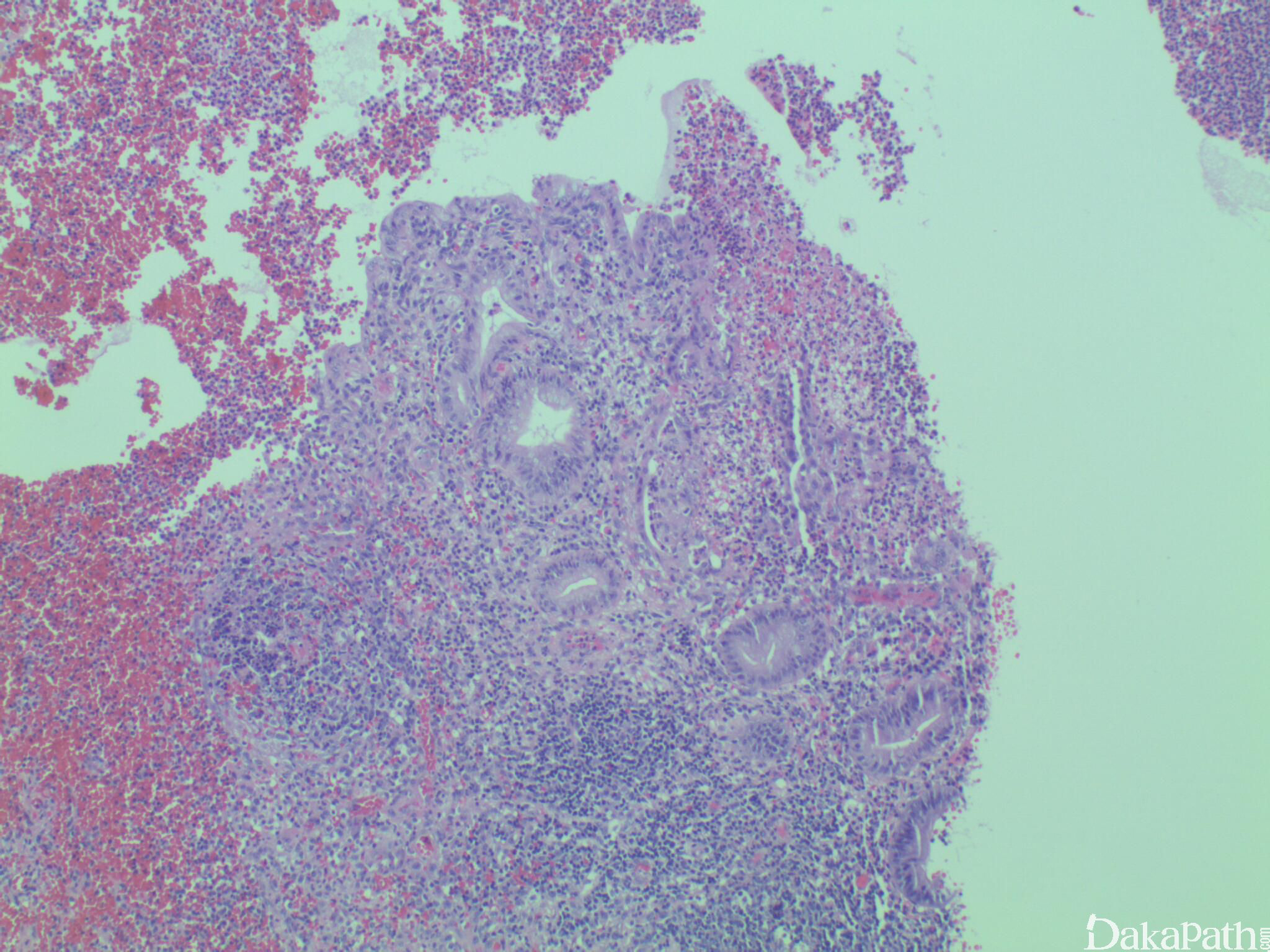
大体上炎症可累及整个阑尾或仅部分受累,早期改变浆膜浊肿、血管扩张,不等量的水肿、充血及渗出;坏疽性阑尾壁可见紫色、绿色或暗灰色,横断面显示黏膜充血及管腔积脓。
组织上阑尾壁全层或部分受累,不定量的急性炎细胞亦中性粒细胞为主,坏疽性阑尾炎可见坏死.
仅仅阑尾周围炎症表明阑尾外的原因引起。可能存在阑尾憩室,偶见高分化神经内分泌肿瘤。

鉴别诊断:
粪石引起的创伤 :大量粪石可缓慢引起黏膜受损,导致局限于黏膜/黏膜下层相似的炎症改变。