乳腺导管扩张症
Mammary Duct Ectasia
同义词(或曾用名): 胆固醇肉芽肿、粉刺样乳腺炎、阻塞性乳腺炎、浆细胞乳腺炎、导管周围乳腺炎
概述:
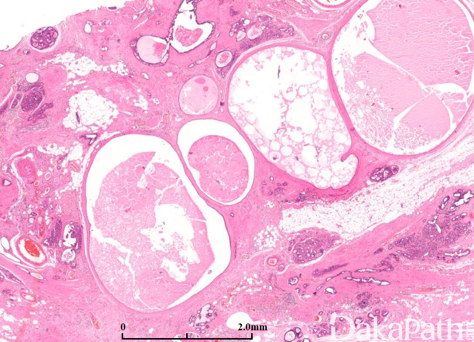
以乳晕下导管周围慢性炎细胞浸润为特点,早期导管扩张,逐步进展可引起导管阻塞。
发病部位: 乳腺
诊断要点:
早期表现为乳晕下导管为中心的慢性炎症,逐步扩展到周围组织;
导管扩张,腔内可见泡沫样组织细胞、蛋白性分泌物、胆固醇结晶或钙化;
导管周围淋巴细胞、浆细胞、组织细胞浸润,可见异物巨细胞或伴肉芽肿形成;
可伴脓肿,甚至窦道形成;
上皮萎缩,或可鳞状上皮化生;
晚期导管周围纤维化可引起导管阻塞,上皮完全消失。
