未分化型鼻咽癌
同义词(或曾用名): 淋巴上皮癌
概述:
通常叫淋巴上皮癌
诊断要点:
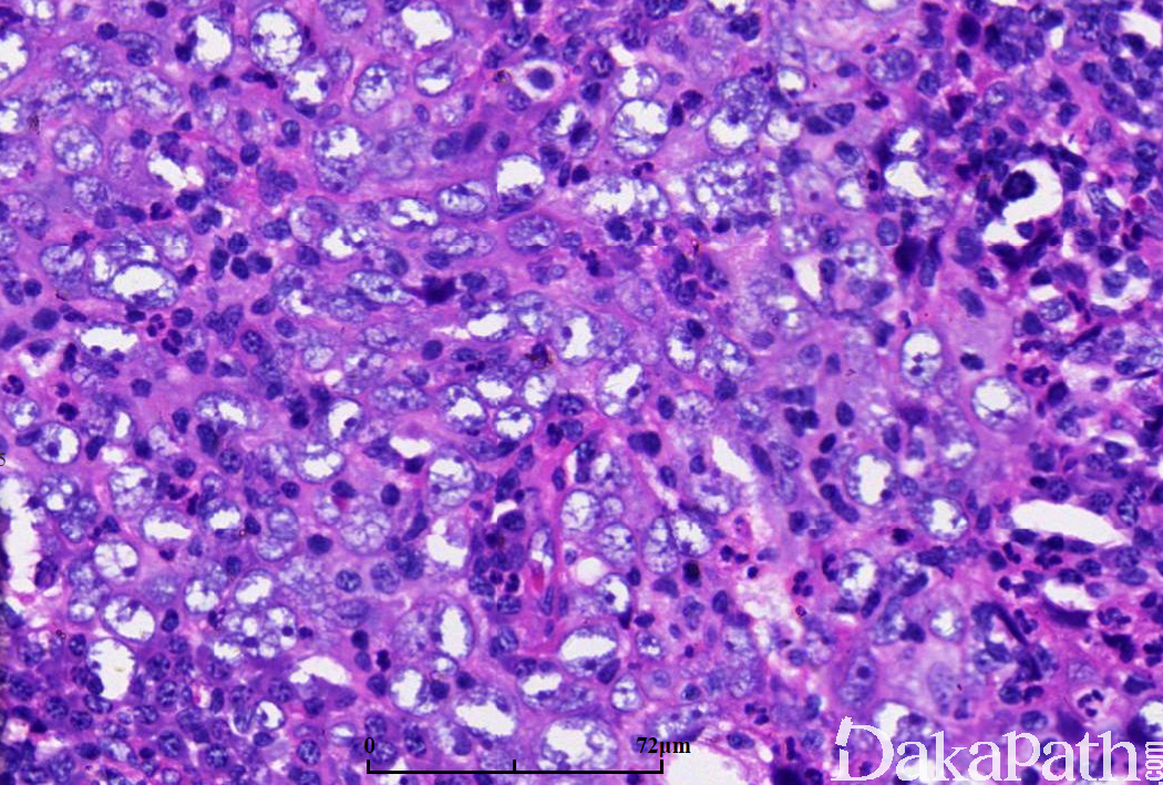
癌细胞呈片块状,核空泡状,核膜光滑,核仁大、嗜伊红;
间质中淋巴细胞丰富,嗜酸粒细胞、浆细胞、上皮样细胞及多核巨细胞均多见;
坏死易见。

免疫组织化学染色:
角蛋白(AE1/AE3. CAM5.2. CK5/6. OSCAR 及 EMA)强阳性,P63 弥漫性核阳性。EBV 潜在膜蛋白 1 阳性(但敏感性较低),EBER 阳性,P16 一般阴性。
鉴别诊断:
大细胞淋巴瘤;
结核:上皮样细胞反应及坏死时明显时需注意鉴别。
← 鼻咽低级别乳头状腺癌 鼻咽癌,非角化型 →