基底样毛囊错构瘤
Basaloid Follicular Hamartoma
概述:
是一种有争议的肿瘤,有学者认为其是一种不同于毛母细胞瘤/毛发上皮瘤的独特的良性肿瘤,另一些学者认为其是一种早期的漏斗部囊性基底细胞癌。
诊断要点:
临床上可分为单发性,局部型、条索痣样型:
单发型常见老年女性,头面部常见;
局部型多见头部;
从遗传角度可分为散发型和遗传型;
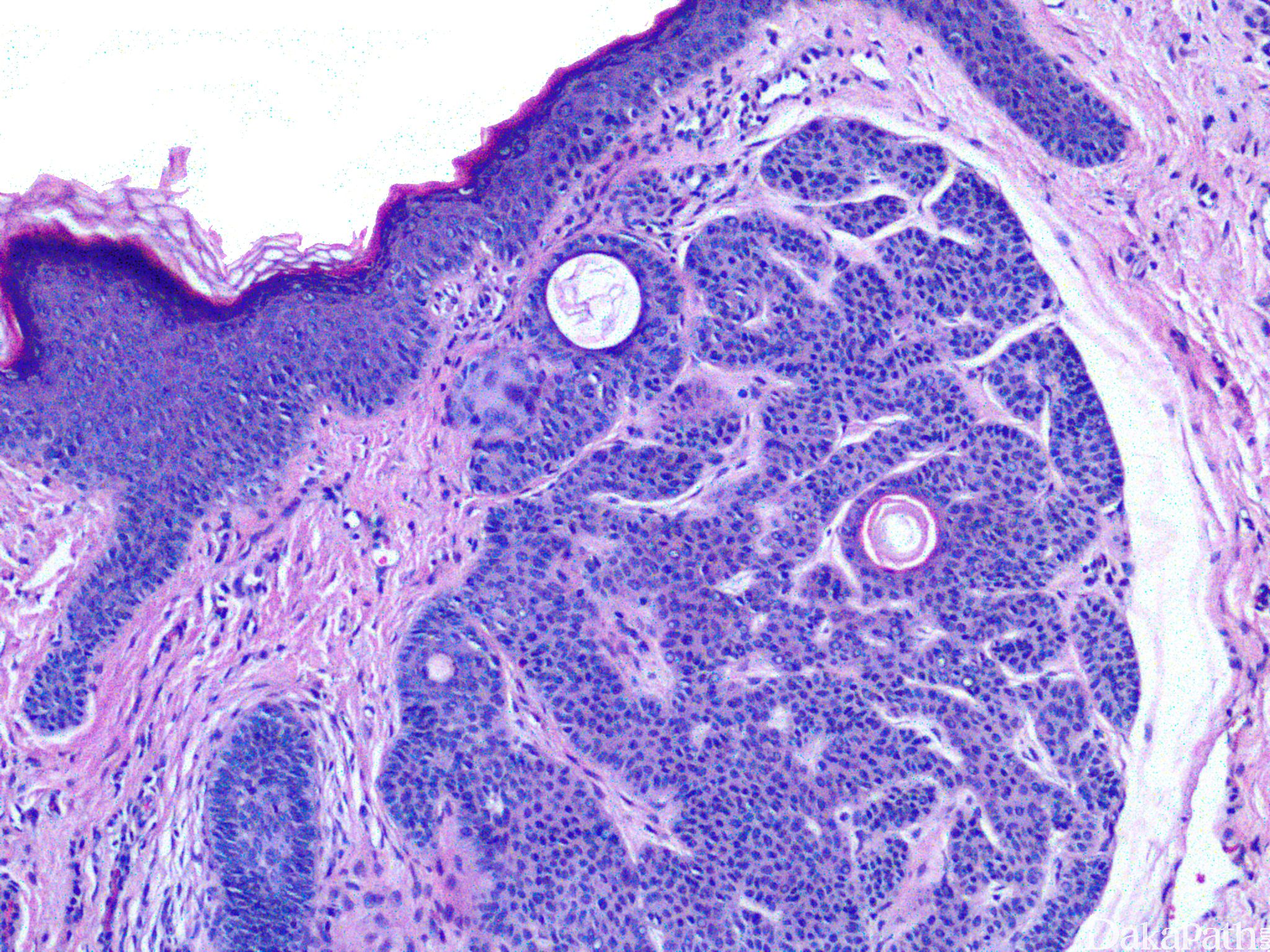
病变界限界清,镜下见真皮内基底样细胞增生,呈细条带和分支条索状互相吻合,常与表皮相连或与毛囊邻近或相连;
基底样细胞形态温和,核分裂缺如或罕见;
可见小的角质囊肿;
细胞索被机化的纤维基质包围。
