外毛根鞘瘤
Trichilemmoma
同义词(或曾用名): 毛根鞘瘤
诊断要点:
通常发生在年轻人的面部,大多散在单发,为孤立性病变,多发性病变是 Cowden 综合征的一个特征;
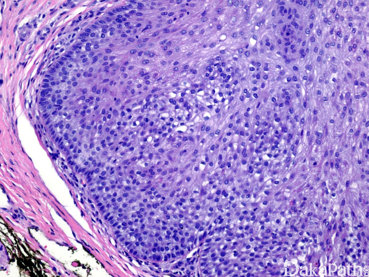
瘤体小而界限清楚,由一个或多个小叶构成,典型者常由小的外生性成分和延伸至真皮网状层上部的内生性成分组成;
小叶往往有数处与表皮或毛囊漏斗相连,小叶周边是一层柱状基底细胞样的细胞,核栅栏状排列,似外毛根鞘;
周围常围绕一层嗜酸性玻璃样变、带有折光性、增厚的基底膜样物质;
细胞呈立方形,胞核圆、居中,胞质淡嗜酸性或透亮;
可出现角化和鳞状旋涡;
部分病例可见明显的玻璃样变或促纤维增生性间质,肿瘤细胞常呈不规则、似浸润性生长方式,这部分病例可称为促纤维增生性毛根鞘瘤。

鉴别诊断:
反转性毛囊角化病 :缺乏玻璃样变的基底膜,少见透明细胞或基底细胞样的特征。
外毛根鞘癌:细胞具非典型性,呈浸润性轮廓。
透明细胞汗腺瘤 :瘤团内有较多大的囊腔和管状管腔。
← 毛囊漏斗型基底细胞癌 外毛根鞘癌 →