毛母细胞瘤
Trichoblastoma
概述:
毛母细胞瘤(trichoblastoma,TBL)和毛发上皮瘤(trichoepithelioma,TE)是良性毛囊纤维上皮性肿瘤。很多当代皮肤病理医师认为毛发上皮瘤是毛母细胞瘤的表浅形式。在 2006 年 WHO 皮肤肿瘤分类中,毛发上皮瘤和毛母细胞瘤是同义词
发病部位: 面部及头皮
诊断要点:
成人多见,常单发,以面部及头皮常见,表现为 1-2 cm 的丘疹或结节;
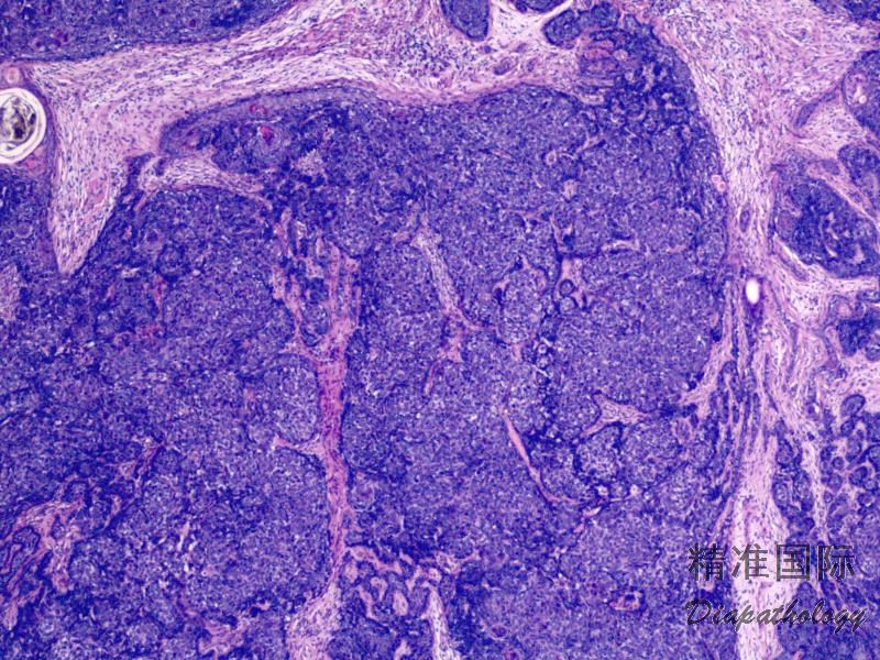
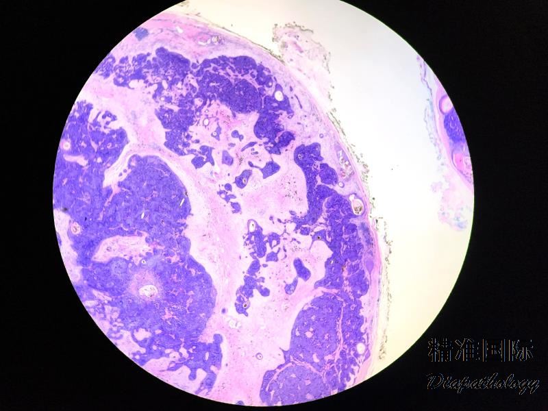
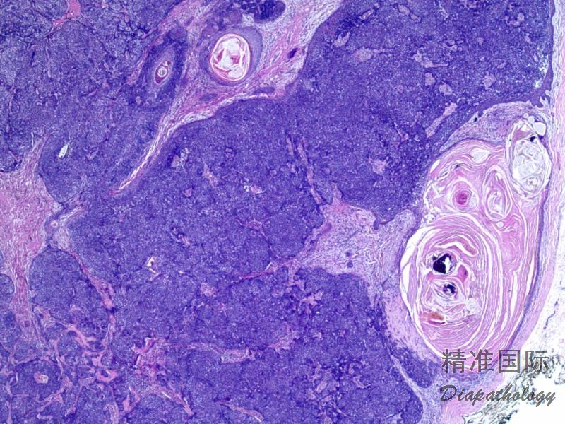
肿瘤位于真皮或皮下组织, 对称性生长,边界清;
镜下见基底样细胞排列成索状、板状或簇状,周围细胞核呈栅栏状排列;
细胞巢团周围有纤维基质增生,无基底细胞癌的细胞巢与间质间的裂隙;
可见毛乳头体。

免疫组织化学染色:
肿瘤周边的间质细胞 CD34 阳性,细胞索周边的基底细胞样角质形成细胞表达 Bcl-2。
鉴别诊断:
基底细胞癌 :肿瘤不对称,核分裂及细胞坏死常见,瘤团与间质间有裂隙,无毛乳头体。