毛母质瘤
Pilomatrixoma
同义词(或曾用名): 钙化上皮瘤
发病部位: 毛发生长区均可发生,但以面部和上肢多见
诊断要点:
大多数病例发生在 20 岁之前,也可发生老年人。 毛发生长区均可发生,但以面部和上肢多见。通常表现真皮和(或)浅层皮下组织内界限清楚的孤立性黄褐色质硬小结节;
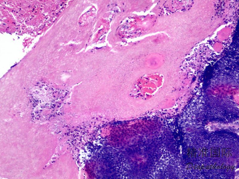
镜下见两型细胞:基底样细胞常位于周边部,核小,胞浆少,紧密排列,可有较多核分裂像;
影(幽灵)细胞由基底样细胞转变而成,胞核消失或不着色,但胞界清楚,两型细胞间可见到过渡型细胞;
通常伴有钙化及异物巨细胞反应;
有些病例间质中包含嗜黑色素细胞。

免疫组织化学染色:
多数 β-catenin 强阳性,基底样细胞呈 β-catenin 胞核及胞浆阳性,cyclin-D1 胞核阳性;hHa5 及 hHa1 可阳性,CK5. CK14 及 CK17 呈阴性。
鉴别诊断:
毛母质癌 :通常表现为基底样细胞比例增高,核分裂活性高,有细胞非典型性和坏死,并呈浸润性生长。
← 毛鞘棘皮瘤 毛囊漏斗型基底细胞癌 →