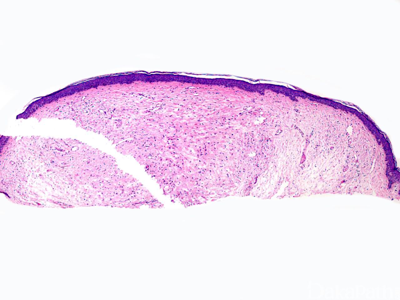
毛盘瘤

Trichodiscoma

同义词(或曾用名): 纤维毛囊瘤

概述:

与纤维毛囊瘤(Fibrofolliculoma)为同一个病变的不同表现

发病部位: 头颈部

诊断要点:

  1. 常见于 30 岁左右,多发于头颈部,可单发或多发,多发性病变与 Birt—Hogg—Dube 综合征有关表现为表面光滑的肤色丘疹,呈圆顶状,脐形含有角质拴或毛发

  2. 通常表现为毛囊周围或毛囊旁,有时为汗腺旁椭圆形无包膜的血管纤维瘤样基质增生,可伴黏液变性,其间散在纤维母细胞增生。