毛鞘棘皮瘤
Pilar Sheath Acanthoma
发病部位: 头面部
诊断要点:
以中老年为主,好发于头面部,多为单发;
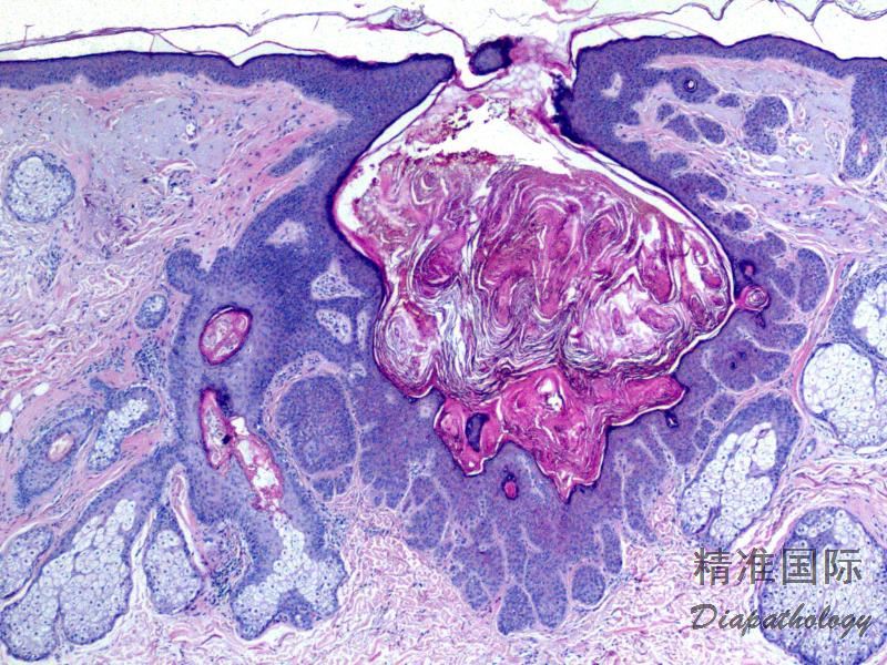
肤色皮疹,中央有孔;
毛囊漏斗部明显扩大,呈不规则分支状囊腔,腔内充满角化物;
囊壁棘细胞向真皮和皮下组织增生,形成分叶状团块。

鉴别诊断:
扩张毛孔 :无囊壁棘细胞增生。
← 促结缔组织增生性毛发上皮瘤 毛母质瘤 →
知识库 Pilar Sheath Acanthoma
发病部位: 头面部
诊断要点:
以中老年为主,好发于头面部,多为单发;
肤色皮疹,中央有孔;
毛囊漏斗部明显扩大,呈不规则分支状囊腔,腔内充满角化物;
囊壁棘细胞向真皮和皮下组织增生,形成分叶状团块。

鉴别诊断:
扩张毛孔 :无囊壁棘细胞增生。
← 促结缔组织增生性毛发上皮瘤 毛母质瘤 →