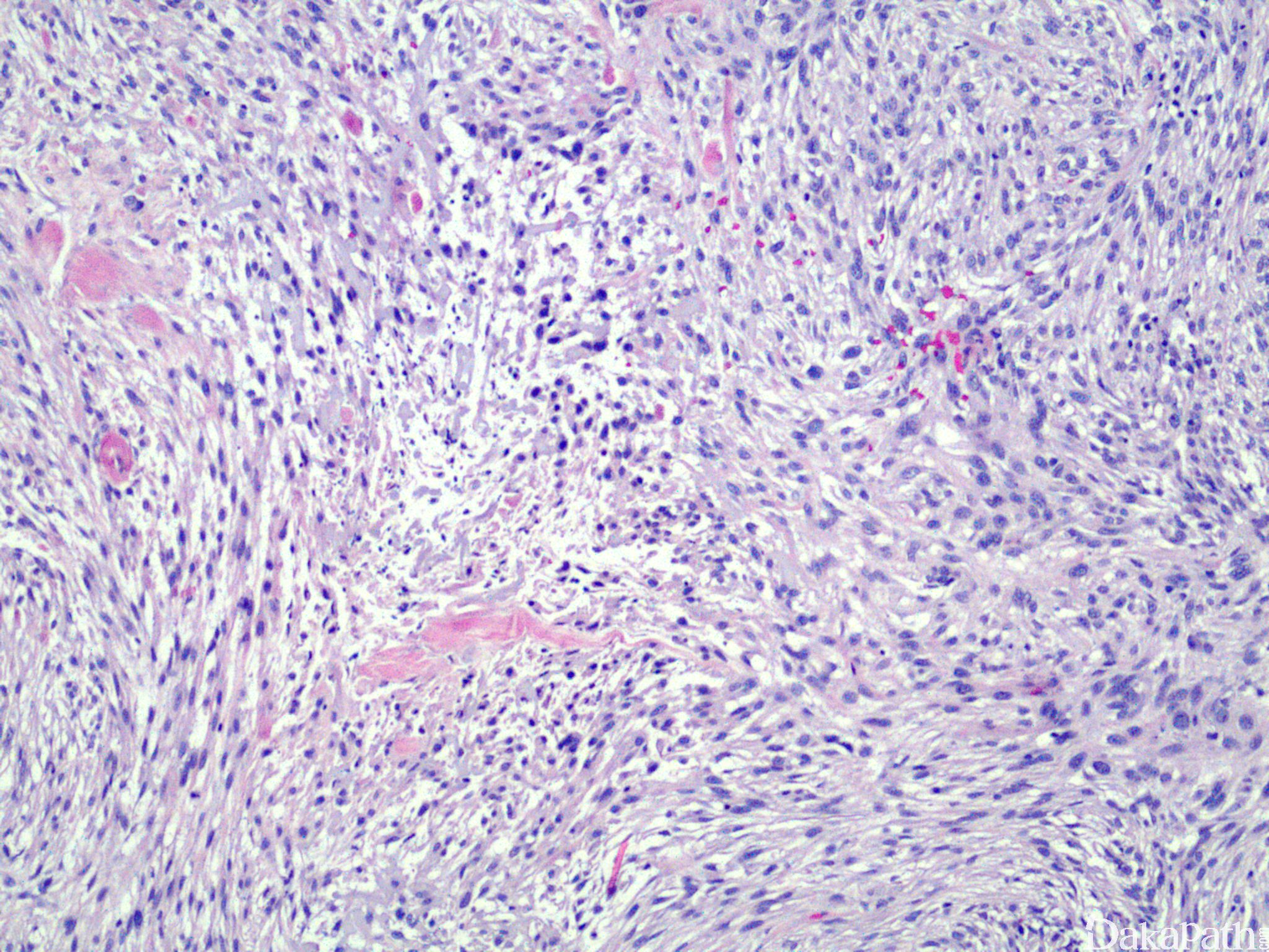
Squamous cell Carcinoma, spindle cell type
诊断要点:
在普通鳞状细胞癌形态基础上,细胞形态主要呈梭形,分化较低,缺乏明显角化,需要免疫组织化学染色辅助确诊。
← 扁平苔藓样角化病 透明细胞鳞状细胞癌 →