扁平苔藓样角化病
Benign lichenoid keratosis
同义词(或曾用名): 良性苔藓样角化病
发病部位: 臂部和上胸部
诊断要点:
好发于中老年,女性多见,常见于臂部和上胸部,表现为一个孤立的肉色至黄褐色扁平的丘疹;
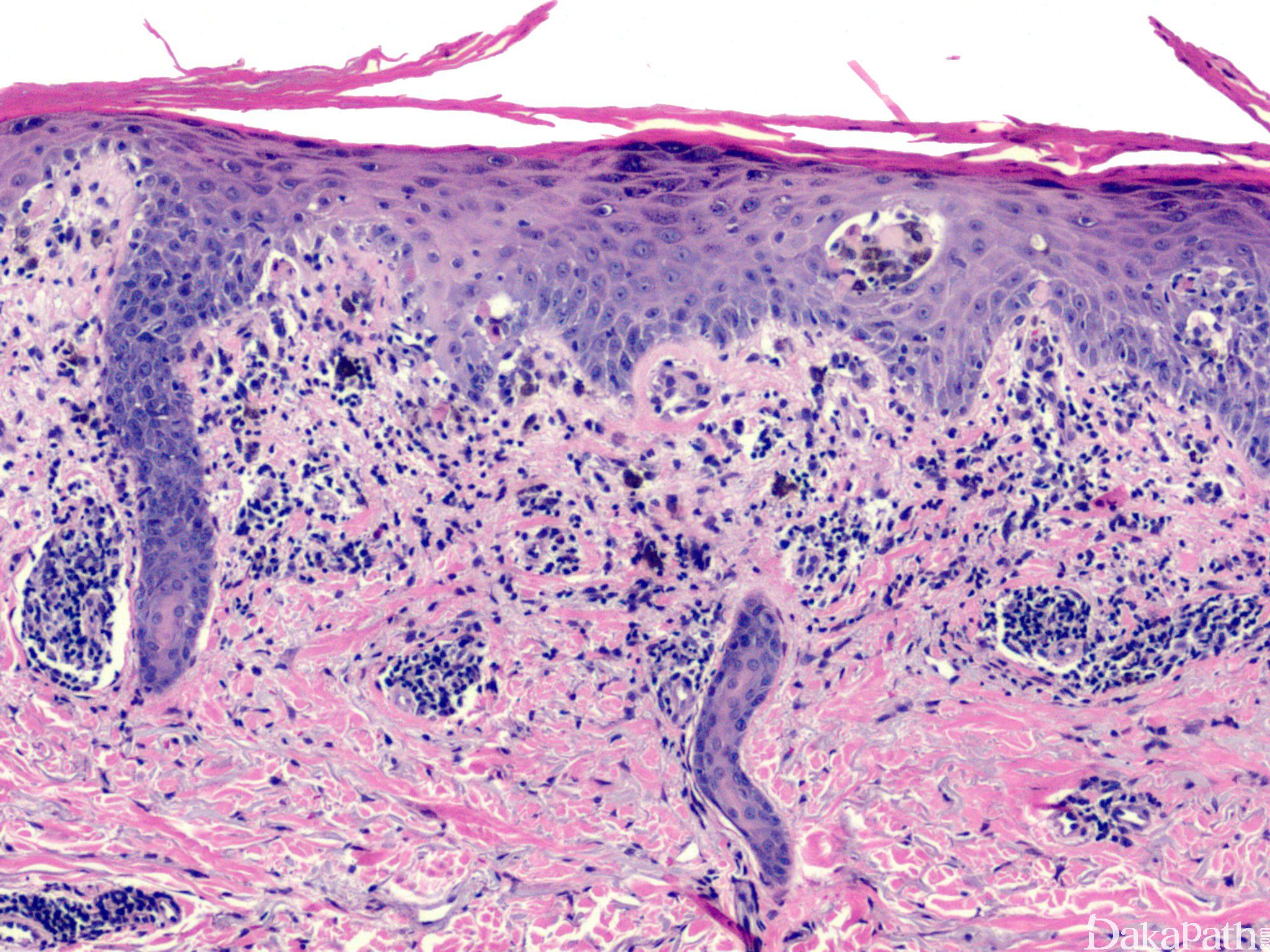
镜下可见不同范围的表皮增生伴程度不等的炎细胞浸润;
炎症以淋巴细胞为主,通常呈密集的带状;
常见角化不全,此特征有助于区分良性苔藓样角化病和特发性扁平苔藓;
楔形颗粒层增厚、上皮脚呈锯齿状伴空泡变性和基底层角质形成细胞鳞化是特征性表现;
在邻近真皮—表皮交界处的真皮乳头浅层可见大小与角质形成细胞类似的嗜酸性小球(凋亡细胞)聚集,称为透明小体、细胞样小体或 Civatte 小体;
浸润性炎症细胞中常含有噬黑色素细胞,并且有时可明显,特别是当其他炎症细胞很少时,因而类似于色素性病变。

鉴别诊断:
扁平苔藓 :颗粒层增厚显著,而角化不全较轻。
炎症型 日光性角化病 :具核深染的非典型基底层角质形成细胞。
蕈样霉菌病 :通常淋巴细胞核深染,核膜不规则,表皮增生不明显,嗜酸性小体少见。
退行性黑色素细胞病变 :有先前存在痣的证据,常存在黑色素细胞巢或孤立的黑色素细胞灶性聚集。
治疗:
削除治疗