皮肤鳞状细胞癌
Squamous cell Carcinoma
诊断要点:
好发于老年人,多见于面部、耳、头皮和手背等日光损伤的浅色皮肤,临床表现可从红斑、有鳞屑的丘疹到薄的斑块、结节或溃疡;
肿瘤呈浸润性生长,细胞巢可呈舌状或成片、指状、条索状、单排浸润真皮或以下;
肿瘤细胞可缺乏黏附性,成簇状或单个散在分布于间质中;
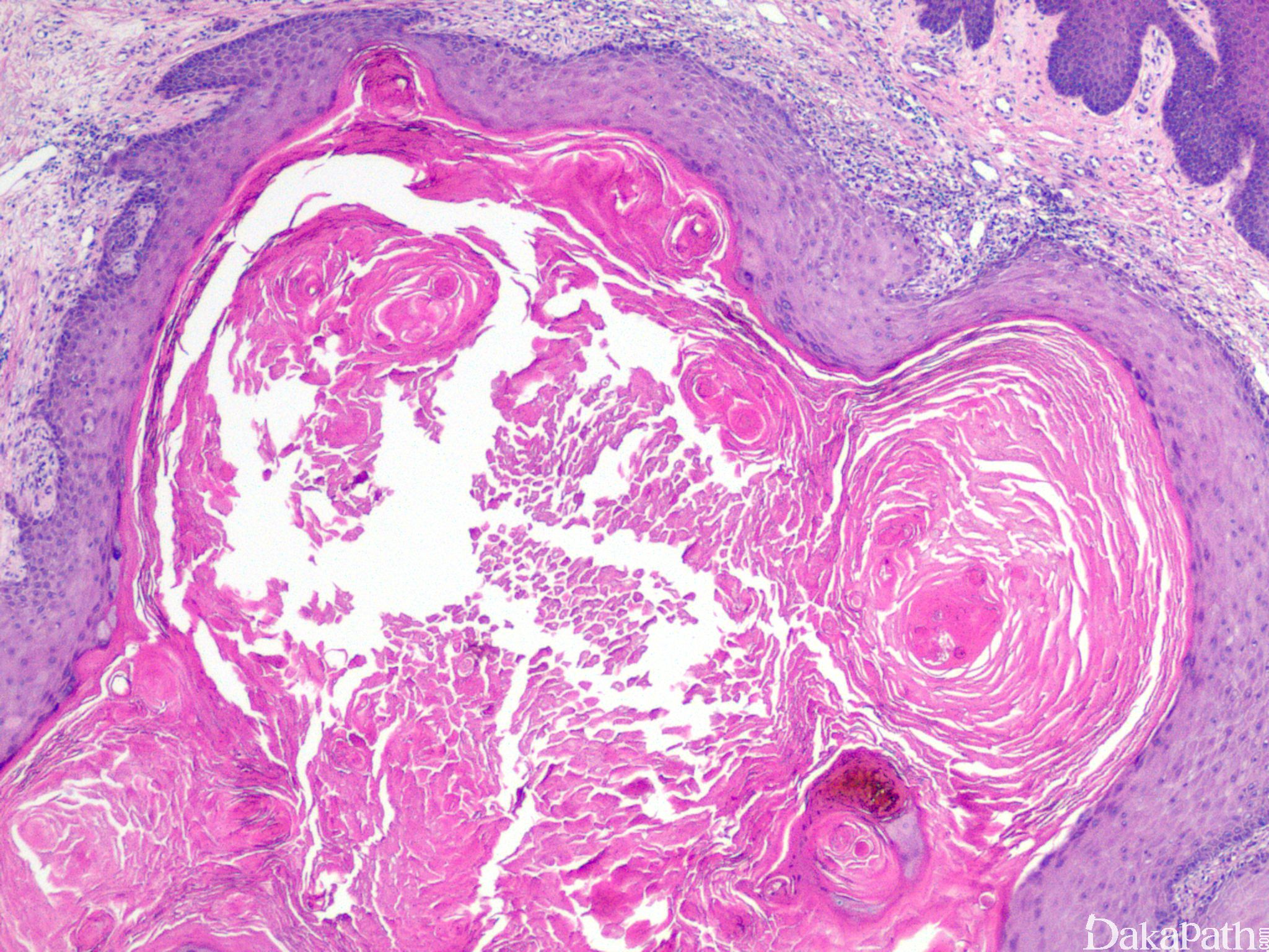
细胞异型轻重不一,分化程度不等,可分为高分化、中分化及低分化
高分化者细胞仅轻到中度异型,往往具丰富的嗜酸性胞质,角化现象明显;
低分化者细胞呈核显著非典型性或伴多形性;
中分化癌介于两者之间,至少部分显示可识别的角化;
根据组织形态不同也可分为:棘层松解型、角化棘皮瘤型、透明细胞型、湿疣状鳞状细癌、疣状鳞状细胞癌、梭形细胞型、促纤维增生性等多种类型。

免疫组织化学染色:
高分子量角蛋白阳性,如 P63. CK5/6 阳性,CAM5.2. CK7. S100 阴性。 Vimentin 呈非特异性表达。黑色素标记(S100. SOX10. MART-1/Melan-A 及 HMB-45)、非典型纤维黄色瘤标记(CD10. CD68 及 CD99 )、平滑肌肉瘤标记(Actin-sm 及 desmin)、基底细胞癌及皮脂腺癌标记(BER-EP4. androgen receptor (AR)及 D2-4