角化棘皮瘤
Keratoacanthoma
同义词(或曾用名): 角化棘皮瘤型高分化鳞状细胞癌
概述:
分化非常好的皮肤鳞状细胞癌,常自发消退。现 WHO 分类将其归类为高分化皮肤鳞状细胞癌。
发病部位: 日光暴露的浅色皮肤区域,面部、手背、臂和前臂
诊断要点:
常发生在老年人,男性多见,好发于日光暴露的浅色皮肤区域,常表现为一个肉色或粉红色质硬的孤立性丘疹或小结节,中央可见角化过度栓,结构对称;
肿瘤生长迅速,病程一般为数周至数月,3 ~ 6 个月后有自发消退倾向;
角化棘皮瘤有几种已确定的临床亚型:
Ferguson—Smith 型呈多发性,常伴有溃疡,常自发消退;
Gryzvbowski 型表现为许多全身性小角化棘皮瘤,不能自发消退;
Witten 和 Zak 型:呈典型的多发性家族性特征,常伴有皮脂腺肿瘤和内脏恶性肿瘤;
巨大角化棘皮瘤:直径超过 5 c m 的;
边缘性离心性角化棘皮瘤:表现为一个大的环形角化性斑块,中央干净;
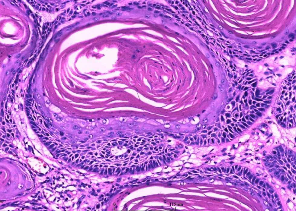
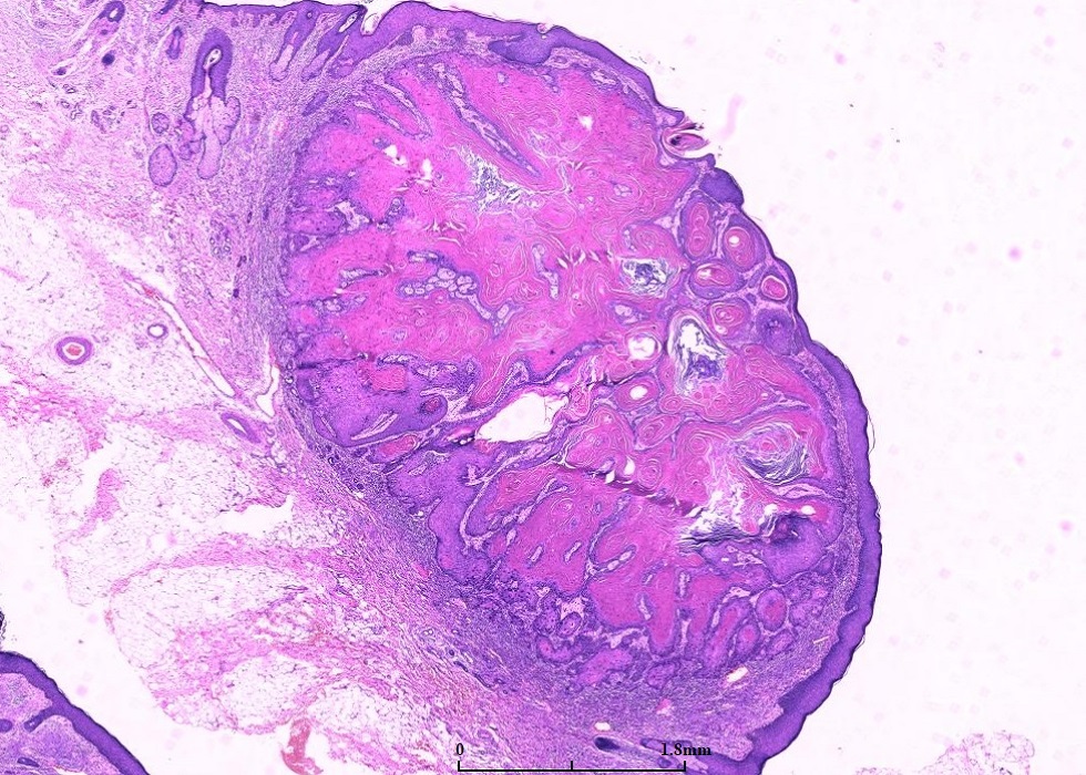
早期呈界限清楚的由大的鳞状上皮构成的实性叶状结构,角化少,细胞异型轻微;
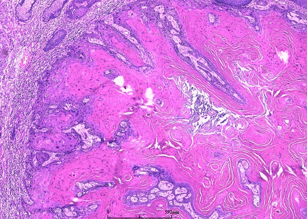
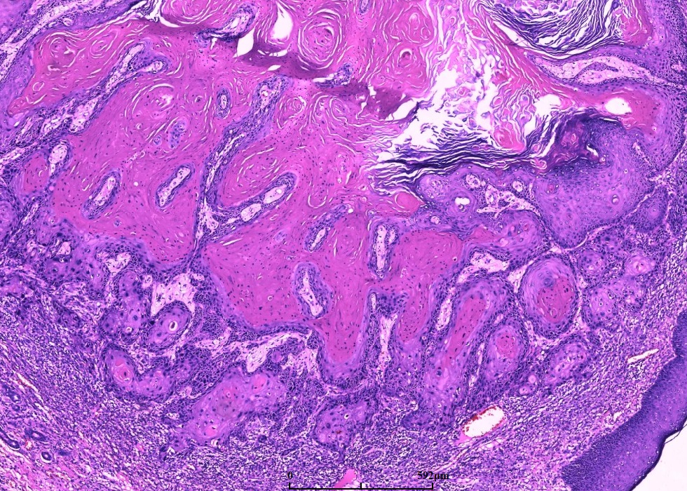
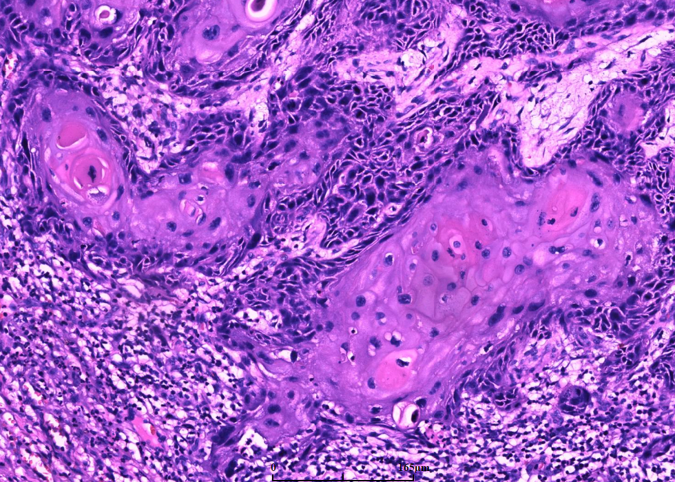
随着病变进展,中央出现火山样结构,内含角化细胞及角化物,无颗粒细胞;
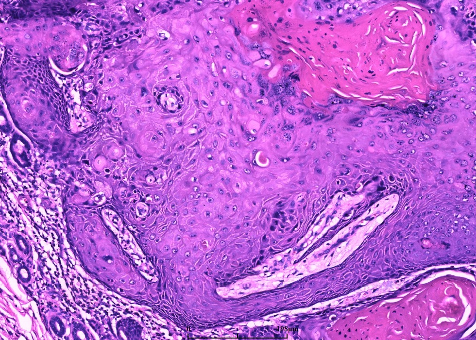
鳞状上皮巢不规则向深部浸润,但轮廓光滑,一般不会超过附属器的水平,深部的上皮细胞巢或上皮脚顶端可出现角化珠和上皮内中性粒细胞微脓肿;
角质形成细胞胞质丰富、强嗜酸性,细胞异型程度不等,但通常较轻且局限于基底细胞层;
周围常伴有炎症反应,但无浆细胞;
邻近的表皮常呈外生性突起,形成一个唇样轮廓;
已消退或消退中的角化棘皮瘤呈扁平状,角质形成细胞胞质嗜酸性减弱,基底细胞层异型性减少或消失,基底部被炎症和纤维化包绕;
有学者认为是鳞状细胞癌,角化棘皮瘤型。

鉴别诊断:
普通型鳞状细胞癌: 多数学者认为角化棘皮瘤为鳞状细胞癌的一个亚型,当肿瘤基底部呈不规则、浸润性生长,细胞明显异型性和成熟异常时应诊断鳞状细胞癌。
疣状癌: 同时具有外生性生长方式及向深部浸润推进性浸润,缺乏中央充满角化物的火山口样外观。
治疗:
外科手术切除干净为主。有学者建议随访,因为多数可自行消退