尖锐湿疣
Condyloma Acuminatum
概述:
外生性及疣状良性上皮病变
发病部位: 肛门及生殖器区域
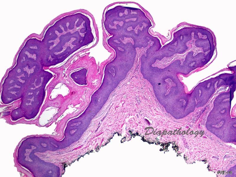
诊断要点:
- 极其常见的性传播疾病,多见于 10-30 岁,临床上呈软肉色疣状斑块,或丝状病变,冠状沟及外阴病变可较大,亦可呈扁平状,极小的病变可能较难被察觉,免疫抑制患者可显示广泛性病变。
- 病变大小数 mm 至数 cm。
- 组织学上可见伴显著纤维血管轴心的树枝状乳头突起(棘层增厚),病变可呈扁平状,不同程度的角化过度及角化不全。可见挖空细胞,出现于乳头上皮的上部分,显示核周空泡,胞核深染及皱缩,双核及多核常见。病变基底宽及较平,边界分明。陈旧性尖锐湿疣可显示轻微或无挖空细胞改变,可类似于脂溢性角化病,生殖部位的脂溢性角化病常与 HPV 相关。鬼臼树脂治疗尖锐湿疣可显示苍白的上部表皮,可见胞核增大,核分裂增多及散在坏死性角化细胞,鉴别诊断包括原位癌及鲍温样丘疹病(病史对于鉴别比较重要),数周之后上述改变可消失。
- 免疫组织化学染色 P16 常呈不同程度表达,Ki-67 仅基底部显示阳性。
- 原位杂交及 PCR 常与低风险 HPV 相关,常为 HPV6 及 11 型。

鉴别诊断:
- 疣状癌 (Verrucous Carcinoma):多数与 HPV 无关,无挖空细胞,棘层增厚的乳头突起伴细的纤维血管轴心,乳头之间可见显著角化凹陷,轻微细胞不典型性,呈宽及推挤性边缘。
- 巨大尖锐湿疣 :病变大于> 5 cm 的尖锐湿疣,显著内生性生长,局灶可见鳞状细胞癌的区域(常位于深部及呈角化型)。
- 疣性癌 (Warty Carcinoma):累及老年患者,与高风险 HPV 相关,可见不典型挖空细胞(核多形性及大量核分裂),肿瘤遍布挖空细胞改变(包括深部浸润性聚集)。肿瘤基底部锯齿状及不规则,亦可类似于湿疣基底(高倍镜下显示相应细胞学特点)。常见 P16 过表达,湿疣的 P16 呈阴性。
- 乳头状癌(非特异性) :多数情况下与 HPV 无关,无挖空细胞形成,复杂乳头结构伴纤维血管轴心,轻度至中度细胞不典型性,肿瘤基底部呈锯齿状及不规则。
- 阴茎珍珠状丘疹病 :常见,常位于龟头冠背侧(2-3 列),组织学上类似于小的纤维上皮乳头,与 HPV 无关及无挖空细胞。
- 鲍温样丘疹病 :全层不典型鳞状上皮,等同于疣性及基底样阴茎上皮内瘤变(PeIN),鬼臼树脂治疗湿疣后可类似于鲍温样丘疹病。
- 疣性及基底样阴茎上皮内瘤变(PeIN) 或鳞状细胞原位癌 :全层不典型细胞伴大量核分裂,基底样 PeIN 以基底样细胞为 主,疣性 PeIN 以不典型挖空细胞为主,亦可见两者混合性改变。治疗性尖锐湿疣可显示核分裂增多,但无不典型核分裂, 病史可帮助鉴别。