结节性红斑

Erythema Nodosum(EN)

概述:

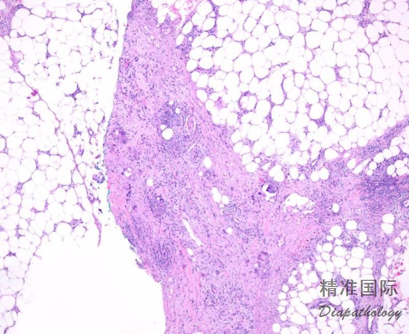
最常见的一种脂膜炎。

发病部位: 最常见的部位胫前,呈双侧分布

诊断要点:

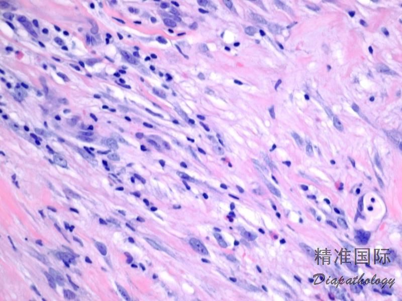
  1. 间隔性脂膜炎的典型代表。

  2. 早期主要是小叶间隔的炎症反应, 以淋巴细胞、组织细胞浸润为主。 也可以有少量中性粒细胞和嗜酸性粒细胞。炎症反应常延伸至间隔周围的脂肪小叶, 出现间隔性脂膜炎和小叶性脂膜炎的混合表现。

  3. 后期在间隔中会有肉芽肿形成。 最终间隔纤维化。

Miescher 结节:  巨噬细胞围绕中间的空隙呈环状聚集, 并伴有水肿和中性粒细胞