银屑病
概述:
是一种慢性炎症性皮肤病,临床表现以红斑,鳞屑为主,全身均可发病。
发病部位: 好发于头皮、肘、膝部皮肤;甲、手、足、躯干等也可受累。
诊断要点:
可发生于任何年龄,20-30 岁、50-60 岁为发病高峰。
临床表现呈多样性:1)慢性斑蛙性疾病最常见,表现为边界清楚、表面银白色鳞属的红色斑块;2)点滴型(发瘘型)银屑病,较少见,表现为散在的丘瘩、斑块;3)脓疱性银屑病有脓疱形成;4)红皮病性银屑病呈广泛的红斑和鳞屑, 5% - 30%可伴发关节炎。
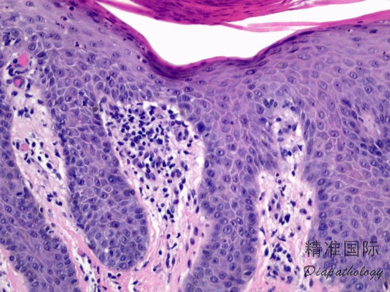
银屑病通常根据临床表现即可诊断,无需活检或辅助检查,临床表现典型时可行组织学检查。组织学改变:充分发展的斑块表现为角化不全伴中性粒细胞浸润、上皮脚明显规则性延长、颗粒层减少、乳头层上方表皮变薄、真皮乳头内血管扩张、迂曲及真皮浅层血管周围淋巴细胞为主的炎症细胞浸润。急性、点滴型或脓疱型皮损表现为中性粒细胞性海绵水肿、海绵水肿性脓疱(Kogoj 微脓疡,指表皮内中性粒细胞的聚集,可位于基底层、棘细胞层或颗粒层)及 Munro 微脓疡(指中性粒细胞在角质层内聚集)。中性粒绑胞在表皮内聚集很明显,但在真皮内并不多见。嗜酸性粒细胞在银屑病中通常不多见。
PASD 或 GMS 染色:鉴别表现为银屑病样组织学模式的真菌感染性疾病。

鉴别诊断:
慢性湿疹(慢性单纯性苔藓) :其延长的上皮脚在长度上不及银屑病,颗粒层多无变化甚至增厚,并且海绵水肿更明显。
药物反应 :红皮病被认为是很多泛发性皮肤病的常见终末状态,包扦蕈样霉菌病/Sezary 综合征、特应性皮炎、毛发红糠疹、药疹等。
蕈样霉菌病 :斑片期蕈样霉菌病常表现为银眉病样增生,伴有其他特征,包括致密的、常为苔藓样的真皮内细胞浸润,小成比例的淋巴细胞进入表皮层。
免疫性水疱性疾病和感染 :海绵水肿性皮炎比银屑病更容易化脓,因此,其中性粒细胞结痂中口可以见到球菌聚集。坏死松解性游走性红斑偶尔可表现为典型的银屑病样皮炎和中性粒细胞性海绵水肿,而无明显的坏死松解。与银屑病相比,其表皮上层通常更显苍白。
治疗:
需个体化治疗。外用和皮损内注射糖皮质激素、外用维 A 酸类、钙泊=醇、煤焦油、蒽林类、宽谱或窄谱 UVB 光疗、PUVA,或系统应用_甲氨蝶呤、环孢素及阿维 A。新型生物制剂包括依那四普、英夫利昔单抗、阿法赛特及阿达木单抗。
病例报道: