睾丸浆液性癌
Testicular Serous Carcinoma
同义词(或曾用名): 浆液性囊腺癌
概述:
类似于卵巢的浆液性癌
发病部位: 睾丸
诊断要点:
- 罕见,形态学类似卵巢浆液性癌;
- 多房囊性或囊实性肿瘤,特征性改变是被覆浆液性上皮的乳头状结构呈浸润性生长,间质伴促结缔组织增生,也可见单个细胞浸润;
- 常伴有交界性浆液性肿瘤成分。

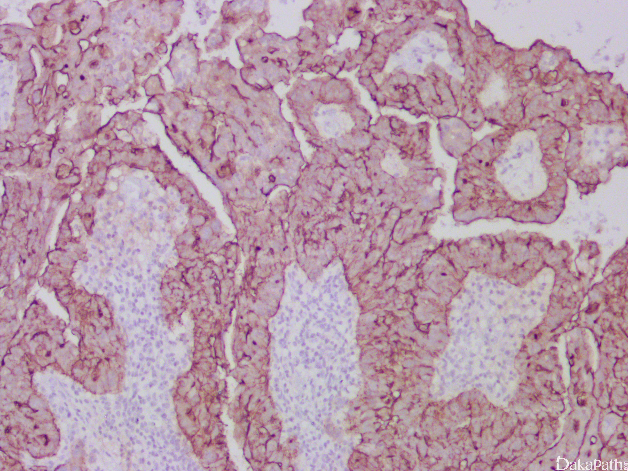
免疫组织化学染色:
PAX8,CA125,WT1 和 ER、BerEP4. Leu-M1 阳性,calretinin、HBME1 阴性。
鉴别诊断:
胚胎性癌:常伴有其它生殖细胞肿瘤成分,周围可见原位生殖细胞肿瘤,免疫组化染色表达 OCT4 和 CD30
转移性癌:广泛的结合病史除外转移性癌。
预后:
差
治疗:
睾丸切除加术后辅助治疗
病例报道:
Metastaticserous carcinomaof the testis: acasereport and review of the literature.
参考文献:
High Grade Serous Cystadenocarcinoma of Testis-Case Report of a Rare Ovarian Epithelial Type Tumour.
Aravind S, Nayanar SK, Varadharajaperumal R, Satheeshbabu TV, Balasubramanian S.
J Clin Diagn Res. 2017 Jun;11(6):ED13-ED15. doi: 10.7860/JCDR/2017/27743.10097. Epub 2017 Jun 1.
← 睾丸Brenner瘤 睾丸浆液性囊腺瘤 →