睾丸腺瘤
Testicular Adenoma
同义词(或曾用名): 腺瘤、囊腺瘤、乳头状囊腺瘤、腺纤维瘤、支持细胞样囊腺瘤
概述:
来源于睾丸网上皮的良性肿瘤,形态学包括一系列普系,包括腺瘤、囊腺瘤、乳头状囊腺瘤、腺纤维瘤、支持细胞样囊腺瘤。
发病部位: 睾丸门部
诊断要点:
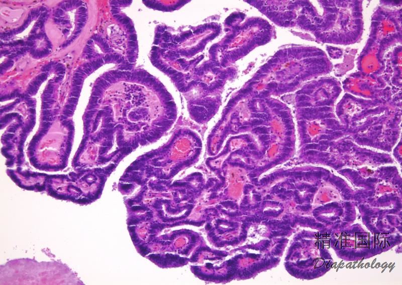
- 罕见,发病年龄广泛,10 多岁至 80 岁均有报道,位于睾丸门部,界限清楚,囊性、囊实性或实性;
- 腺瘤呈实性,由致密的腺管构成;
- 囊腺瘤具显著的囊性结构;
- 乳头状囊腺瘤囊壁可见乳头状结构突入囊腔;
- 腺纤维瘤具显著的纤维性间质;
- 上述类型上皮细胞呈单层或复层,立方或柱状,衬覆于囊壁、腺管及乳头表面,无异型及核分裂,有时可见从正常睾丸网上皮与肿瘤上皮的转化,有助于睾丸腺瘤的诊断;
- 支持细胞样亚型位于扩张的睾丸网内,有紧密排列的管状结构构成,管状结构常为实性,细胞质丰富,淡染,核位于基底,核仁突出,大小不一。

免疫组织化学染色:
免疫组化染色表达 CK,EMA 和 PAX8,支持细胞型表达 inhibin、calretinin、SOX9。
分子标记:
无
鉴别诊断:
睾丸支持细胞瘤累及睾丸网:病变的主体在睾丸实质内,累及睾丸网;免疫组化染色核表达 β-catenin 和 cyclinD1 可资鉴别,Inhibin 对于鉴别支持细胞型囊腺瘤与支持细胞瘤没有帮助,两者均可阳性。
转移性前列腺腺癌累及睾丸网:免疫组化染色表达 PSA 可资鉴别。
睾丸网腺瘤样增生:无肿块形成,表现为交织网状的扩张的小管状结构增生,被覆上皮立方状,胞浆稀少。
预后:
良性
治疗:
单纯肿瘤切除
病例报道:
A diagnostic pitfall of fine needle aspiration cytology intesticularpapillary serous cystadenoma: acasereport.
参考文献:
Jones EC, Murray SK, Young RH. Cysts and epithelial proliferations of the testicular collecting system (including rete testis). Semin Diagn Pathol. 2000;17:270–293. Mesa H, Gilles S, Datta MW, et al. Comparative immunomorphology of testicular sertoli and sertoliform tumors. Hum Pathol.
2017;61:181–189.