瘢痕疙瘩
keloid
概述:
是一种皮肤疤痕组织的结节状过度增生
发病部位: 以背部、肩部、头面部、耳垂、胸前正中和腹部多见
诊断要点:
好发于瘢痕体质的家族易感人群,临床上表现为皮肤的圆形、卵圆形以及线性隆起,与创伤、感染或手术史有关;
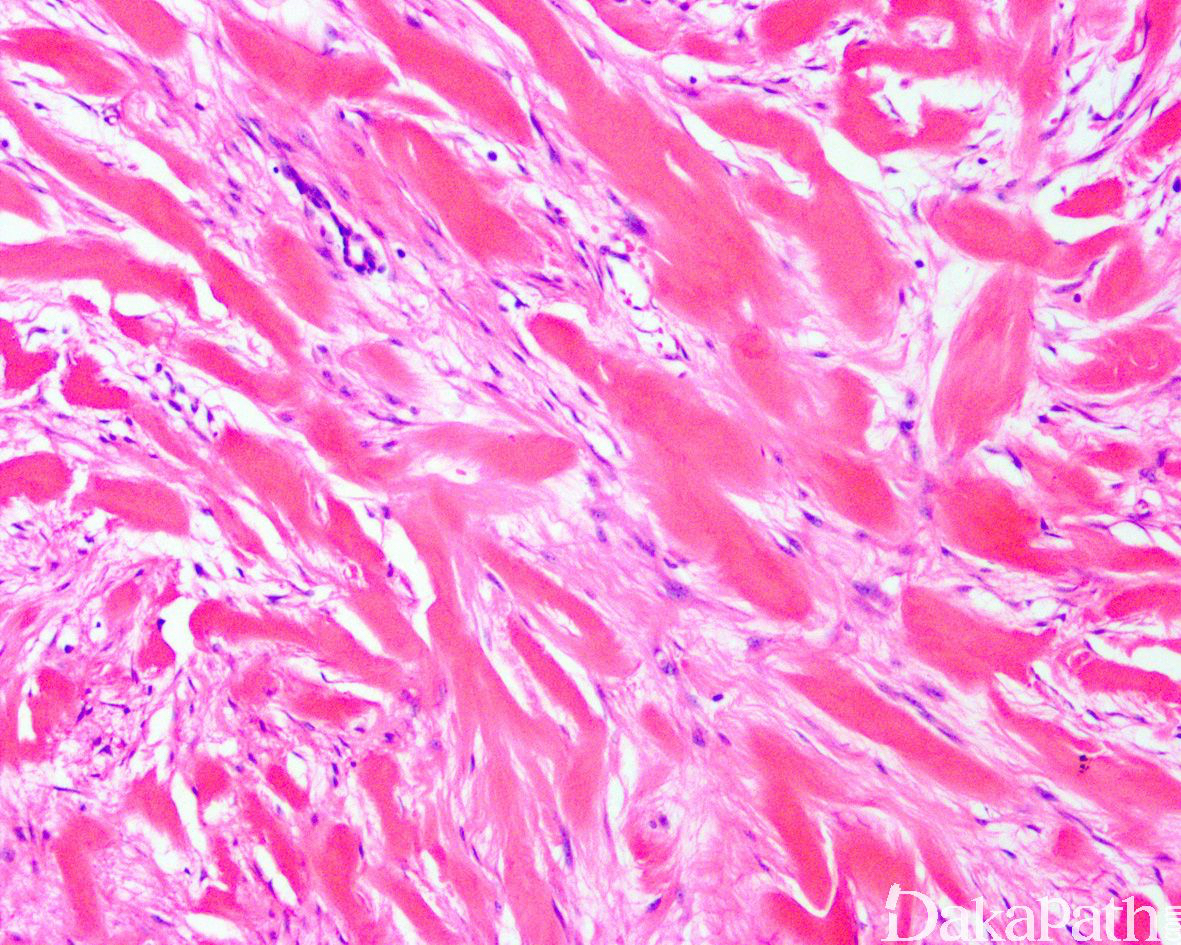
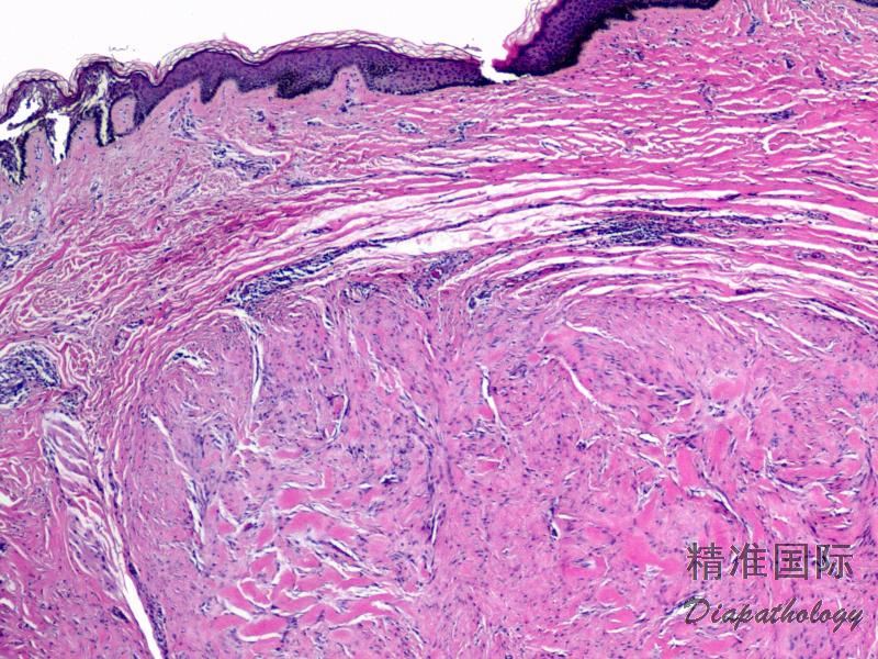
病变位于真皮内,由大量排列紊乱或纵横交错的致密粗大而深嗜伊红的胶原纤维组成,总体上有平行于表皮排列的趋势,表皮常表现为萎缩;
胶原纤维内可见温和的纤维母细胞,病变的早期在胶原纤维之间可见丰富的血管化间质,后期随着病变的进展可逐渐延伸并取代皮肤附属器结构,纤维母细胞和血管化间质明显减少,胶原纤维玻璃样变明显可伴有钙化或骨化;

免疫组织化学染色:
梭形细胞局灶表达 SMA
鉴别诊断:
- 肥大性疤痕(hypertrophic scar) 少或无玻璃样变性的胶原纤维,病变内纤维母细胞数量相对较多,胶原化较少,病变进展表现为局限性的膨胀性增生,不取代皮肤附属器结构。
- 胶原瘤(collagenoma) 无皮肤外伤或手术史,病变多位于躯干和四肢的远端,表现为多灶性散在的小结节,青春期后发病,妊娠期明显增大。
- 局限性席纹状胶原瘤(circumscribed storiform col-lagenoma) 无皮肤外伤或手术史;由席纹状排列粗大胶原条束组成,常伴有玻璃样变性,偶见畸形的多核巨细胞。
- 疤痕样真皮纤维瘤(keloid dermatofibroma) 无皮肤外伤或手术史;除疤痕样区外,多可见典型的纤维组织细胞瘤成分。
预后:
45%-100%可复发
治疗:
手术切除联合类固醇激素注射治疗可减少术后复发率,术后放疗或高剂量短距离放疗亦可减少复发率。
参考文献:
Murray JC. Keloids and hypertrophic scars. Clin Dermatol 1994;12(1): 27–37. Chike-Obi CJ, Cole PD, Brissett AE. Keloids: pathogenesis, clinical features, and management. Semin Plast Surg 2009;23(3):178–84.
← 反应性结节状纤维性假瘤 深部软组织平滑肌瘤 →