阑尾纤维性闭塞
Fibrous Obliteration(FO) of Vermiform Appendix
概述:
纤维化改变导致正常黏膜及淋巴结构的缺失,可闭塞阑尾腔。
发病部位: 阑尾
诊断要点:
通常是患有其他疾病的阑尾切除术后偶尔发现,多数位于老年人,偶见于年轻人。
大体上阑尾外观无明显异常,闭塞远端阑尾体积缩小(与剩余阑尾相比),若存在粪石及阑尾黏液性肿瘤,近端扩张更明显,管腔部分或全部缺如。
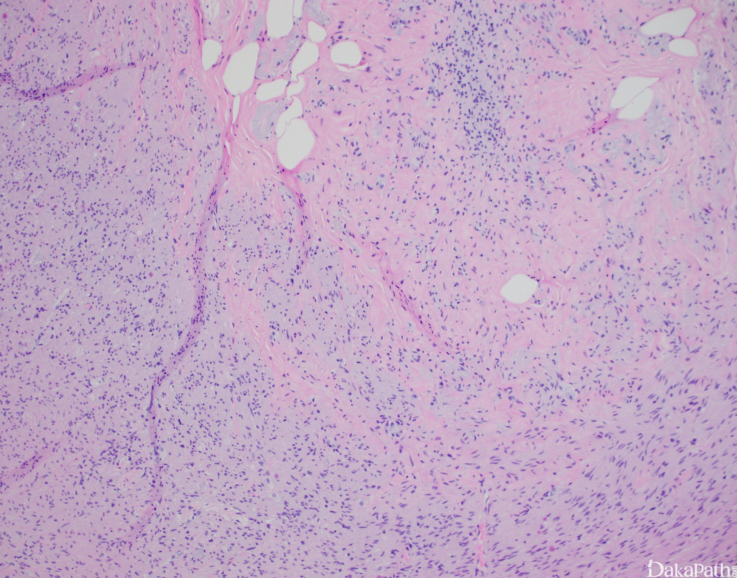
组织上管腔被胶原组织取代,常伴黏液性背景。常见神经弥漫性增生及与纤维组织混合,可形成小神经瘤。纤维可能主要局限于黏膜,阑尾淋巴组织萎缩及消失,可见显著的肥大细胞。

鉴别诊断:
间叶性肿瘤 :需与平滑肌瘤、颗粒细胞瘤及胃肠间质瘤鉴别。
← 高级别阑尾黏液性肿瘤 肉芽肿性阑尾炎 →