乳腺结节性筋膜炎
Breast Nodular Fasciits
概述:
是一种少见的良性病变,由肌纤维母细胞增生形成的结节样病变。
发病部位: 乳腺
诊断要点:
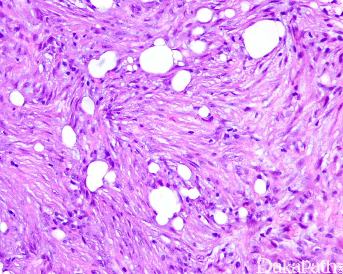
通常位于乳房区皮下组织,亦可累及乳腺实质,与其他部位的结节性筋膜炎形态类似;病程多在 1-2 周,超过 3 个月少见,偶尔可达 1 年
由梭形或胖梭形纤维母细胞组成,细胞排列稀疏,间质疏松、呈羽毛状或组织培养样特征,可呈 S 或 C 形排列。可伴微囊性腔隙。在黏液样区域内的细胞可呈星芒状。
细胞形态和大小基本一致,无明显的多形性和异型性;可见核分裂像,但不见病理性核分裂。
间质内常见外渗的红细胞和散在的淋巴细胞,但通常不见浆细胞。
病变界限常不清,边缘常呈浸润状,常见增生的薄壁毛细血管,类似肉芽组织。位于皮下者可向脂肪组织生长,位于肌内者则可向肌纤维之间生长。部分病例也可有相对清晰的周界。
早期病变或病程较短者多呈黏液样。晚期病变或病程较长者,病变内的纤维母细胞/肌纤维母细胞数量减少,胶原增多,呈疤痕样。
部分病例细胞丰富,且细胞较肥胖,呈致密的交织条束状排列,有时也可呈席纹状排列,但细胞异型不明显,核浆比例不高。
少数病例中可见到多少不等、散在分布的破骨样多核巨细胞,但多核巨细胞的体积相对较小,核的数目相对较少。
少数病例可伴有间质灶性钙化或骨化。
警惕 :乳腺结节性筋膜炎与梭形细胞化生性癌在形态学上可非常相似,极易发生混淆,诊断乳腺结节性筋膜炎之前必须先排除梭形细胞化生性癌。

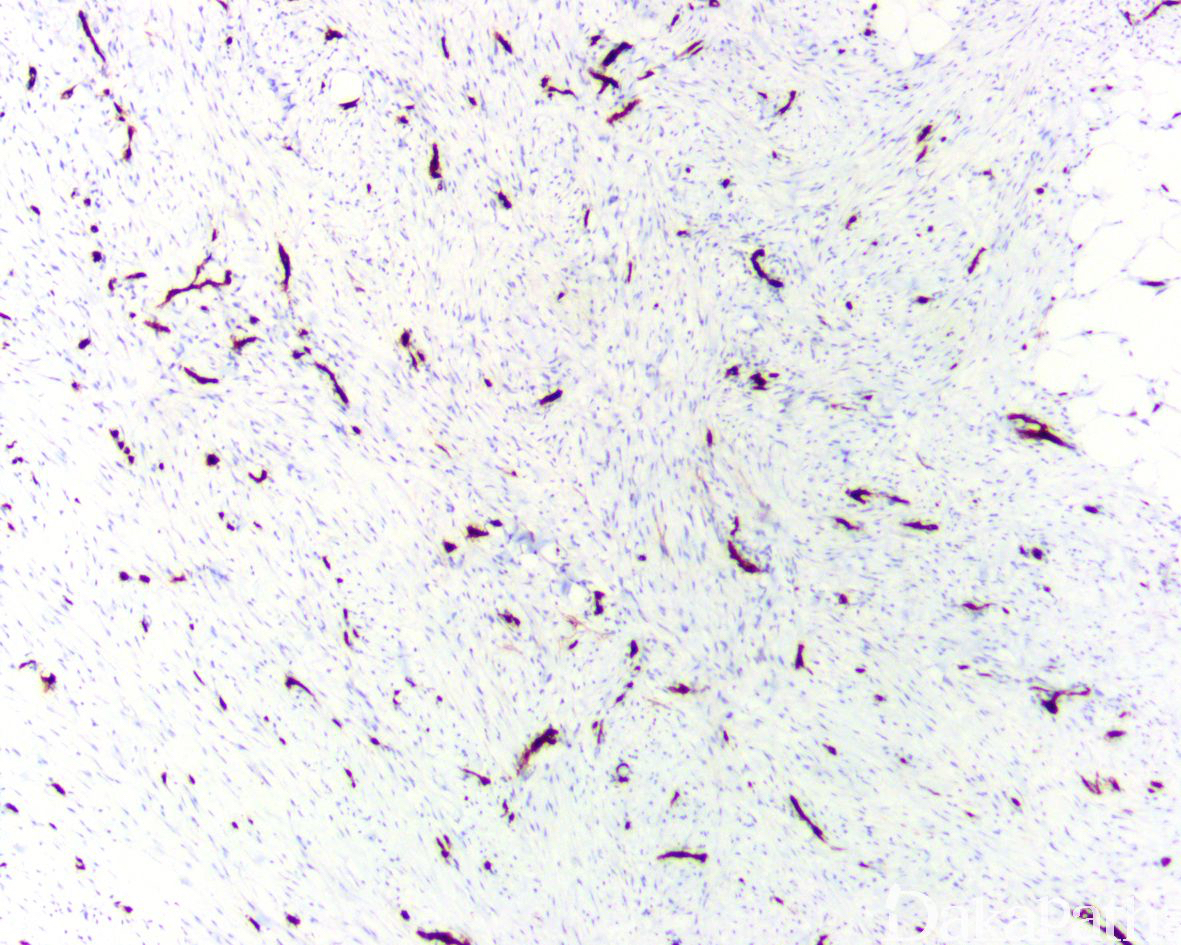
免疫组织化学染色:
α-SMA、MSA、CD10 常阳性,P63. Desmin、CK、CD34. S-1 00. h-caldesmon 等阴性,ER, PR 一般阴性。b-catenin 为膜或浆表达。
分子标记:
存在涉及 USP6 基因重排,最常见的融合基因为 MYH9-USP6 融合基因
鉴别诊断:
结节性筋膜炎位置通常较为表浅,梭形细胞化生性癌一般位于乳腺实质,比结节性筋膜炎位置更深,更广泛地累及乳腺组织;
免疫组化染色:结节性筋膜炎 CK 及 p63 阴性,化生性癌 CK 及 p63 阳性。
乳腺穿刺活检部位反应:常有近期的活检病史,常见陈旧性出血和含铁血黄素沉积,可见乳腺的上皮错位,免疫组化染色表达 SMA,无 USP6 基因重排;
乳腺型肌纤维母细胞瘤:瘤细胞相对边界较清楚,位于乳腺实质内,瘤细胞卵圆形或短梭形,束状排列,间质内常见带状胶原纤维沉积,可见丰富的肥大细胞浸润,边界处可见淋巴细胞浸润和淋巴滤泡形成。免疫组化染色表达 CD34 和 desmin 以及 ER, PR 等,遗传学上表现为 RB1 基因缺失。
纤维瘤病:瘤细胞成长束状排列,间质胶原纤维较明显,炎症浸润稀少,免疫组化染色表达 SMA, 核表达 b-catenin。
预后:
良性,切除不尽偶可复发
治疗:
完整切除
病例报道:
Hayashi H., Nishikawa M., Watanabe R., et al. Nodular fasciitis of the breast. 2007;14(3):337–339. doi: 10.2325/jbcs.14.337. 参考文献:
Paliogiannis P, Cossu A, Palmieri G, et al. Breast Nodular Fasciitis: A Comprehensive Review. Breast Care (Basel). 2016;11(4):270‐274. doi:10.1159/000448185