子宫恶性苗勒混合瘤
Malignant Mixed Mullerian Tumor of the Uterine
同义词(或曾用名): 恶性中胚叶混合瘤、癌肉瘤
概述:
双向分化肿瘤,由高级别癌和肉瘤两种成分构成。
发病部位: 子宫
诊断要点:
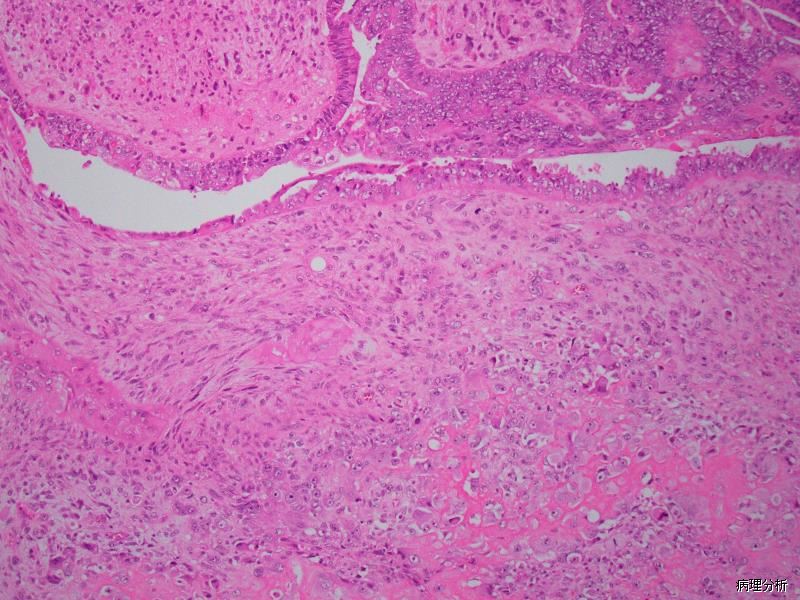
通常呈息肉样,充满整个子宫腔肿瘤,常突入到子宫颈外口,类似于子宫颈肿瘤;
组织学上由恶性的上皮成分和恶性间叶成分混合组成;
上皮成分表现多样,浆液性癌、子宫内膜样癌和高级别非特殊性癌是最常见的癌成分,透明细胞癌、黏液性癌、鳞状细胞癌和中肾管癌也可作为上皮性成分,但不常见;
大约一半病例具同源性间叶成分,其中大多数病例为高级别梭形细胞肉瘤或多形性肉瘤,极少病例类似于平滑肌肉瘤或子宫内膜间质肉瘤;
异源性间叶成分以横纹肌肉瘤和软骨肉瘤最常见;
出血坏死常见;
常见脉管侵犯;
恶性苗勒混合瘤两种成分多少不一,分布可能不均匀,可表现为以一种成分为主,在活检小标本中发现高度多形性肉瘤的碎片或难以进一步分类的高级别癌或异源性成分,提示该活检标本可能为取材不全的 MMMT;肿瘤分期标准与宫内膜癌一致。

免疫组织化学染色:
上皮和间叶成分常同时表达 Keratin 和 EMA, p53 常阳性。
鉴别诊断:
子宫内膜去分化 癌 :是一种含有分化和未分化肿瘤成分的双相性肿瘤。与 MMMT 不同,去分化癌中的分化性癌通常为高分化子宫内膜样癌,而未分化成分由大小一致的小圆形细胞组成,既分化好的腺癌,而不是梭形和明显多形性细胞。
子宫内膜样癌伴梭形细胞成分 :
子宫内膜样癌伴梭形细胞成分病例中上皮成分组成与梭形细胞移行融合,而 MMMT 中上皮和间叶成分界限清楚;
子宫内膜样癌伴梭形细胞成分中上皮成分分化较好,常伴鳞状化生,梭形细胞没有明显异型性,而 MMMT 中上皮成分与间叶成分均呈高级别,分化差。
预后:
高度恶性肿瘤,预后差。