子宫腺肉瘤

Adenosarcoma of the Uterine

概述:

良性上皮成分和肉瘤样间质成分构成的恶性肿瘤。为低度恶性潜能肿瘤

发病部位: 除子宫内膜外,也可发生于子宫颈和子宫外盆腔部位,例如输卵管、卵巢及卵巢周围组织。

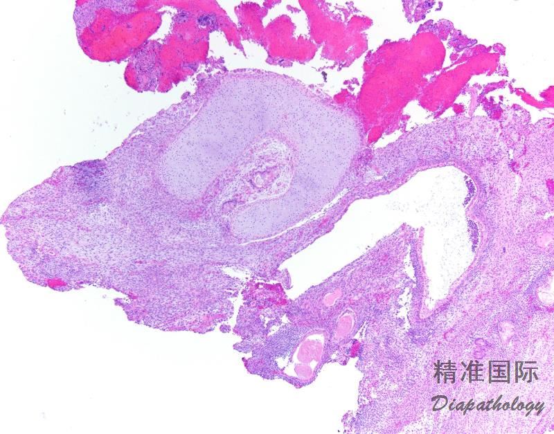
诊断要点:

  1. 腺肉瘤通常呈息肉样,偶尔表现为多发性乳头状,平均直径 6cm,可充满宫腔;

  2. 肿瘤内遍布管状腺体和裂隙样腔隙,衬覆上皮的乳头状间质由表面突入囊腔,导致叶状肿瘤样外观;

  3. 表面上皮和腺上皮通常类似增殖期或萎缩子宫内膜上皮也会出现许多其他类型的上皮,包括分泌性上皮、黏液性上皮、鳞状上皮和透明细胞;

  4. 上皮通常形态温和,但偶尔也会见到增生性,甚至非典型增生性上皮;

  5. 间叶成分总比上皮成分多;

  6. 间叶成分常常类似于子宫内膜间质肿瘤,也可类似于纤维母细胞/肌纤维母细胞肉瘤,还也可出现其它成分如平滑肌、软骨、骨骼肌、性索、脂肪等分化;

  7. 腺体周围间质细胞丰富是腺肉瘤的特征性表现,几乎每个病例都可见细胞丰富的袖套样间质围绕腺体或在表面上皮下方形成富于细胞的间质条带,至少局部如此;

  8. 间叶细胞的核异型性程度不一,在多数肿瘤中为轻到中度异型性,核分裂像通常为 2 ~ 4 个/10HPF,或者更多;如具备其他指征没有核分裂也可诊断

  9. 腺肉瘤常常含有与腺纤维瘤难以区分的形态温和区域,因此,需要仔细地全面观察镜下形态以寻找肉瘤样成分;

  10. 约 10%的腺肉瘤可出现肉瘤的过度生长;2014 年 WHO 分类称之为腺肉瘤伴肉瘤样过度增生:

  11. 肉瘤样成分占整个肿瘤体积的 25%或更多,该区域内无上皮成分,间叶成分通常为高级别,细胞密度和核分裂活性均增加,核异型性更明显;

  12. 肉瘤可以是间质肉瘤、纤维肉瘤、平滑肌肉瘤,或几种肉瘤相混合;

  13. 异源性成分(尤其是横纹肌肉瘤)可以发生并局限于肉瘤性过度生长的区域;

  14. 纯粹性的肉瘤生长区域可以出现在肌层浸润部分或者构成肌层浸润的全部成分;

  15. 淋巴血管腔的浸润在腺肉瘤中罕见,多位于肉瘤性过度生长区域。

免疫组织化学染色:

上皮成分 CK 阳性,ER 和 PR 通常阳性,腺肉瘤中的间叶细胞通常显示 CD10 胞质阳性,ER 和 PR 及 WT-1 呈核阳性。在高级别肉瘤性过度生长区域 CD10 和激素受体染色常较弱或消失;偶尔可见 CK 局灶染色,有时为点状着色。

鉴别诊断:

息肉 :的间质通常为纤维性;息肉常有明显的中央血管;息肉无腺体周围间质细胞丰富的现象,通常没有核异型性,核分裂少见。

腺纤维瘤:间质主要为纤维性,并且细胞密度低于腺肉瘤,上皮性成分周围的间质细胞不密集。间质细胞形态温和,无或难以找到核分裂象。 诊断必须在整个肿瘤切除后才能确定。活检不能诊断

癌肉瘤:上皮成分为腺癌或未分化癌,间叶成分为肉瘤,通常为高级别。

非典型息肉样腺肌瘤:间质无叶状肿瘤的特征,间质由平滑肌或肌纤母上皮成份;上皮成份类似内膜复合不典型增生