涎腺硬化性多囊性腺病
Sclerosing polycystic adenosis of salivary glands
同义词(或曾用名): 硬化性多囊性腺瘤
概述:
涎腺的反应性炎性病变,形态上类似于乳腺的纤维囊性病或硬化性腺病。
发病部位:
诊断要点:
少见,发病年龄广泛,主要见于腮腺,也可见于颌下腺及小涎腺;
临床多表现为生长缓慢的无症状的包块;
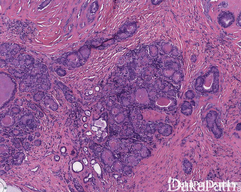
大体检查界限清楚,直径 1-12cm 不等,切面苍白,质韧,橡皮样,可表现为多结节;
低倍镜下肿瘤界限清楚,但没有包膜,周围常包绕正常涎腺组织;
显著的纤维性硬化,常伴有硬化的结节;
可见实性或筛状上皮细胞巢,可有扩张的囊状结构,有时上皮巢内可见透明变胶原小球;
上皮细胞形态变化较多,扁平、柱状、大汗腺样、黏液、鳞状上皮及泡沫样胞浆均可能见到,细胞巢周围可见肌上皮细胞,管状、囊状结构可见双层细胞,外层为肌上皮细胞,内层为腺上皮细胞;
少数病例腺泡样细胞胞质呈 PAS 阳性的明显的嗜酸性颗粒,类似肠道的潘氏细胞;
泡沫状上皮细胞似皮脂腺细胞,为细胞退变所致;
可见灶状黄色瘤样巨噬细胞,常与上皮细胞退变相伴;
少数病例伴有上皮的非典型性或异型增生,但小叶结构保存,无浸润性生长。

免疫组织化学染色:
腔上皮细胞光谱 CK 阳性,部分病例 ER(20%)、PR(80%)阳性,肌上皮细胞 S100. SMA、Calponin 阳性。
鉴别诊断:
多形性腺瘤:可见 显著的肌上皮成分及间质黏液和/软骨成分,缺乏潘氏细胞样腺泡细胞。
慢性硬化性涎腺炎:为 IgG4 相关疾病,主要发生于颌下腺。缺乏纤维硬化结节,无潘氏细胞样腺泡细胞。
涎腺导管癌:细胞异型明显,核分裂活跃,常伴粉刺样坏死及浸润性生长方式,AR 弥漫强阳性。
预后:
约 1/3 病例可局部复发,常与未切除干净有关;无转移病例报道。
治疗:
局部切除。
涎腺腺淋巴瘤 →