B 淋巴母细胞白血病/淋巴瘤
B lymphoblastic leukemia/lymphoma (B-ALL/LBL)
概述:
B-ALL/LBL 是一种前体 B 细胞(淋巴母细胞)肿瘤,在形态和免疫学上具有母细胞及早期 B 细胞分化特征。通常累及骨髓和外周血(B-ALL),偶尔也首发于淋巴结或结外组织(B-LBL),但极少累及纵隔。如同时累及骨髓和外周组织,以骨髓中淋巴母细胞>25% 定义为 B-ALL。 根据 WHO,B-ALL/LBL 分为 B 淋巴母细胞白血病/淋巴瘤-非特指型(B-ALL/LBL,NOS)和 B 淋巴母细胞白血病/淋巴瘤伴重现性遗传学异常(B-ALL/LBL with recurrent genetic abnormalities) 两大类。
诊断要点:
急性淋巴母细胞白血病(ALL)是儿童最常见的恶性肿瘤,75% 病例发生于 6 岁以下,其中 80-85%为 B-ALL,临床表现为急性白血病,侵犯骨髓,也常累及外周血,同时累及髓外器官的病例也不少见,如中枢神经系统、肝、脾、睾丸等。B-LBL 相对较少,占所有 LBL 病例的 10% (其余为 T-LBL),常见发病部位为皮肤、软组织、骨、淋巴结。
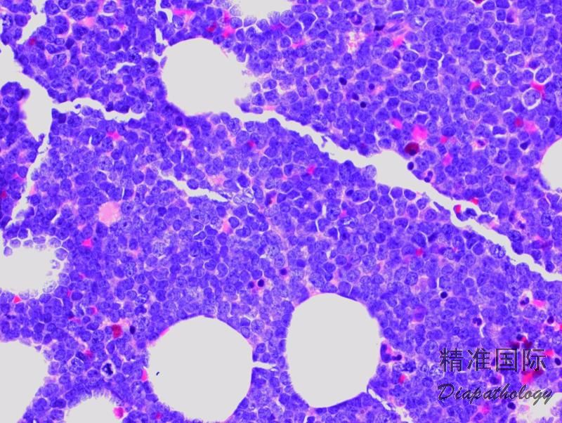
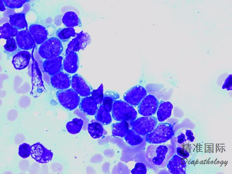
在骨髓或外周血涂片中,肿瘤细胞变化较大,可从小的圆形细胞、浆少、核浆比例高、染色质较致密、核仁不清楚的细胞形态(L1)到大的、胞浆相对丰富、核形不规则、染色质分散、多少不等的清晰核仁的细胞形态(L2)。有时可见到胞浆内空泡,这一形态学特点并不是 Burkitt 淋巴瘤所特有。
骨髓活检常显示细胞密度高,由形态单一的幼稚细胞弥漫浸润代替正常骨髓结构。高倍观察细胞形态同涂片。
髓外受累的部位病变通常呈弥漫性分布。有的病例可出现部分淋巴结受累,淋巴母细胞侵犯副皮质区累及生发中心。淋巴母细胞形态一致,圆形至椭圆形核,核膜不同程度卷曲。染色质细点状,核仁通常不明显。大多数病例,核分裂像多,部分病例可见灶性“星空”现象。
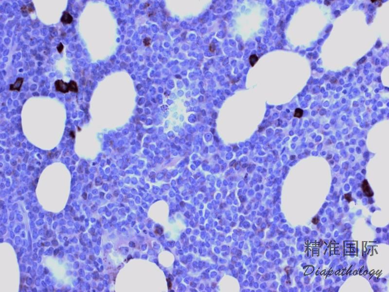
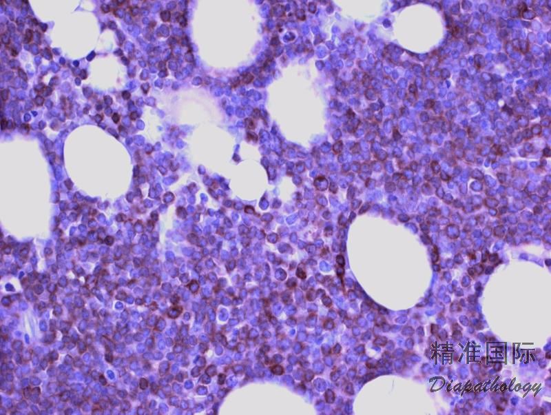
免疫表型:几乎所有病例表达 CD19. 胞浆 CD79a 和 CD22,但其中没任何一个抗原的单一表达具有特异性,要结合其表达特点和其它抗原表达才能确定 B 系来源;大多数病例 CD10. CD22. CD24. PAX5 和 TdT 阳性;CD20. CD34 表达不一,CD45 可能阴性;CD13. CD33 可能阳性。在免疫组化中,CD79a、PAX5 常用来确定 B 系来源,但需注意 T-ALL 偶也会 CD79a 阳性。B 淋巴母细胞淋巴瘤/白血病可根据细胞的分化程度分为 3 型:在早期阶段称为早前 B(early precursor B-ALL)或原 B(Pro-B-ALL),表达 CD19,胞浆 CD79a、CD22 和核 TdT;中间阶段称为普通 B-ALL(common B-ALL),表达 CD10;最成熟阶段称为前 B-ALL (Pre-B-ALL),表达胞浆 μ,表面免疫球蛋白通常阴性(但阳性也不能排除该型 B-ALL 的诊断)。
遗传学:几乎所有的 B-ALL 都有 Ig 重链基因重排。 Ig 重链基因重排也可以发生于 T-ALL 甚至 AML,故该检测对细胞系的判定不具特异性。Ig 轻链重排也可以发生,且对判定 B 细胞系来源更有帮助。
根据是否存在重现性遗传学异常及与之相关的临床、表型特征或预后,B-ALL/LBL 分为 B 淋巴母细胞白血病/淋巴瘤-非特指型(B-ALL/LBL,NOS)和 B 淋巴母细胞白血病/淋巴瘤伴重现性遗传学异常(B-ALL/LBL with recurrent genetic abnormalities) 两大类(见下)。
B 淋巴母细胞白血病 / 淋巴瘤 - 非特指型( B-ALL/LBL , NOS ): 符合上述 B-ALL/LBL 的临床、形态和免疫表型等的一般特征,无特异的重现性细胞遗传学异常,但可以有非特异的异传学改变如缺失 6q 、9p 、12p。
B 淋巴母细胞白血病 / 淋巴瘤伴重现性遗传学异常( B-ALL/LBL with recurrent genetic abnormalities) :
B 淋巴母细胞白血病/淋巴瘤伴 t(9;22)(q34;q11.2);BCR-ABL 1:为 B-ALL 中预后最差的亚型。多见于成人,占成人 ALL 的 25%, 但只占儿童 ALL 的 2-4%。肿瘤细胞表达 CD10. CD19. TdT,常合表达髓系相关抗原 CD13 和 CD33,但不表达 CD117,CD25 也常表达(成人)。罕见肿瘤细胞表现为 T 淋巴母细胞表型。
B 淋巴母细胞白血病/淋巴瘤伴 t(v;11q23);KMT2A 重排:KMT2A 基因位于 11 号染色体 q23,可与其产生的融合基因有 100 多个,最常见的是与位于 4q21 的 AF4 基因融合,其次是与位于 9P13 的 ENL 及 9p21.3 的 AF9 融合。该型 B-ALL 在小于 1 岁的婴幼儿最多见,较大儿童少见,但至成人发病率又逐渐增加。常表现为白细胞计数显著增高(>100x109),累及中枢神经系统,预后差。肿瘤细胞通常 CD19+,CD10-(Pro-B-ALL),并特征性表达 NG2 类。有时候会同时发现 B 淋巴母细胞群和单核母细胞群,此时诊断应为 B/髓系白血病。
B 淋巴母细胞白血病/淋巴瘤伴 t(12;21)(p13.2;q22.1);ETV6-RUNX1:该融合基因常发生在白血病的早期,但主要见于儿童,而不是婴幼儿;成人罕见。肿瘤细胞常 CD19+、CD10+、CD34+,有时 CD13+。该型白血病预后很好,儿童治愈率 90%以上。
B 淋巴母细胞白血病/淋巴瘤伴超二倍体:染色体数量增加(>50,<66),结构常为正常。常见于儿童,占儿童 B-ALL 的 25%。 肿瘤细胞表达 CD19 和 CD10,多数 CD34+。预后很好,总体治愈率超过 90%。
B 淋巴母细胞白血病/淋巴瘤伴亚二倍体:丢失 1 条或多条染色体(<46)。根据丢失染色体的多少可分为三种(或四种)亚型:近单倍体(23-29 条染色体)、低亚二倍体(33-39 条染色体)、高亚二倍体(40-43 条染色体)。第四种亚型为近二倍体(44-45 条染色体),但定义一般不包括此亚型(预后于前三种不同)。少见,可发生于成人或儿童,单近单倍体亚型仅见于儿童。肿瘤细胞表达 CD19 和 CD10。总体预后较差。低亚二倍体亚型通常同时有 TP53 突变,近单倍体亚型则常有 RAS 或受体络氨酸激酶突变。
B 淋巴母细胞白血病/淋巴瘤伴 t(5;14)(q31.1;q32.1);IL3-IGH:5 号染色体上的 IL3 基因与 14 号染色体上的 IGH 基因发生重排,导致 IL3 基因过表达。罕见(<1%),见于成人或儿童。常伴有外周血反应性嗜酸细胞增多。肿瘤细胞表达 CD19 和 CD10。该型预后和其他类型 B-ALL 无明显不同。
B 淋巴母细胞白血病/淋巴瘤伴 t(1;19)(q23;p13.3);TCF3-PBX1:相对常见于儿童(6%),成人较少见。肿瘤细胞通常表达 CD19. CD10 和胞浆 μ(Pre-B-ALL 表型),常 CD9 强阳性,而 CD34 阴性或仅少数细胞阳性。早期认为该型预后差,但随着治疗方法的改进,该型预后和其他类型无明显差异,但 CNS 复发风险可能相对较大。
B 淋巴母细胞白血病/淋巴瘤,BCR-ABL1 样(暂定类型):其基因表达图谱与 ALL 伴 BCR-ABL1 相似,但系由于其它酪氨酸激酶基因重排所致;或系由于 CRLF2 重排(常伴有 JAK 突变,多见于唐氏综合症);或较少见的情况下累及 EPOR 基因。此型相对多见(),主要发生于高风险 ALL、青少年和成人。预后差,但 TKI 常有疗效。
B 淋巴母细胞白血病/淋巴瘤伴 iAMP21(临定类型):此型遗传学特点是部分 21 号染色体段扩增(FISH 检测 RUNX1 基因 X5 或以上)。见于 2%年龄较大儿童,外周白细胞计数常低。预后不好。

鉴别诊断:
- 急性未分化白血病 :肿瘤细胞具有母细胞形态,但无特异髓系或淋系分化特征。只表达早期未成熟抗原如 CD34 和 HLA-DR,不表达特异的 T 或髓系抗原如 cCD3 或 MPO,也不表达 B 细胞特异抗原如 cCD22. cCD79a 和 CD19(但可弱表达 CD19)。
- 混合型急性白血病,B/髓系 :白血病细胞既表达髓系特异性抗原如 MPO 又表达 B 系特异性抗原如 cCD22. cCD79a 和 CD19。
- Burkitt 淋巴瘤 :肿瘤细胞中等大小,但核仁更明显,胞质嗜碱性。表达全 B 细胞抗原,CD10 和 Bcl-6 也通常阳性,有表面轻链限制性表达。CD34 和 TdT 阴性。
- AML 伴 t(8;21) :此型 AML 有时会表达 CD19 和 PAX5,但其典型的细胞形态和表达髓系特异抗原有助鉴别。
- 套细胞淋巴瘤 ,母细胞样:肿瘤细胞形态与母细胞有相似之处,但表达全 B 细胞抗原并共表达 CD5,cyclin D1 阳性。
- 慢性粒细胞白血病(CML)伴淋巴母细胞危象 :有 CML 病史,BCR/ABL+。少数病例首诊时已是淋巴母细胞危象,此时需与原发性 B-ALL 伴 BCR/ABL 鉴别。仔细询问回顾病史资料和观察背景细胞形态和密度有助诊断。
- 正常前体 B 细胞(hematogones)反应性增生 :骨髓正常前体 B 细胞可反应性增生,尤其是儿童,增生可以非常明显,但一般为间质均匀分布,不会弥漫取代造血成分。细胞中等,染色质均匀,无明显核仁。抗原表达类似 B 淋巴母细胞,但呈现特有的分化成熟谱系如逐渐获得 CD20 并丢失 CD10. CD34 或 TdT。