甲状旁腺腺瘤
Parathyroid Adenoma
概述:
由主细胞、嗜酸细胞、过度型嗜酸细胞或这些细胞类型混合构成的良性肿瘤
发病部位: 甲状旁腺
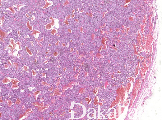
诊断要点:
绝大多数包膜完整,仅少数缺少完整的结缔组织包膜,少数病例可发生囊性变;
组织结构多样,可表现为实性片块、巢状、结节状、梁状、滤泡样、腺泡样形态,也可以呈菊形团样,乳头状或假乳头状,通常为不同结构的混合;
在主要由实体片状排列构成的病例中,主细胞围绕血管呈栅栏状排列;
滤泡腔或腺泡状腺样结构含有嗜酸性物质并偶尔呈层状,有时局灶性钙化很似砂砾体,刚果红染色在一些滤泡内可见绿色双折光的典型淀粉样变;
大多数腺瘤是以主细胞为,但也常见嗜酸细胞和透明细胞;
腺瘤的主细胞较大,其胞浆弱嗜酸性或空泡状富于糖原,核圆形,染色质浓密,偶见大小不等的小核仁;嗜酸细胞显示颗粒状嗜酸性胞浆 ;
一些腺瘤可见明显的核异型,核巨大深染或偶为多叶状核,异型核不能作为恶性的标准;
可见到核分裂,但通常较少;
间质一般稀少,可伴水肿及含铁血黄素颗粒的纤维化区带;
在纤维化区和在硬化的厚包膜中可见钙化,甚至骨化;
腺瘤中可自发地或在 FNAB 后出现大片梗死;
有学者指出 Ki-67 指数大于 5%可能有恶性潜能,应对患者密切长期随访。
变异型:
嗜酸细胞腺瘤(oncocytic adenoma)
透明细胞腺瘤(water-clear adenoma)
非典型腺瘤(atypical adenoma)
腺脂肪瘤(lipoadenoma)

免疫组织化学染色:
主细胞呈甲状旁腺激素(PTH)和 CgA 阳性、CK8/18 和 CK19,TTF-1 阴性。
病例报道: