促结缔组织增生性毛发上皮瘤

Desmoplastic Trichoepithelioma

诊断要点:

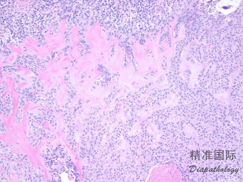
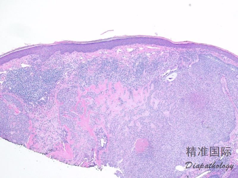
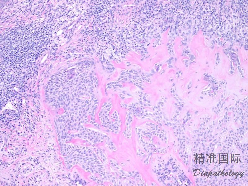
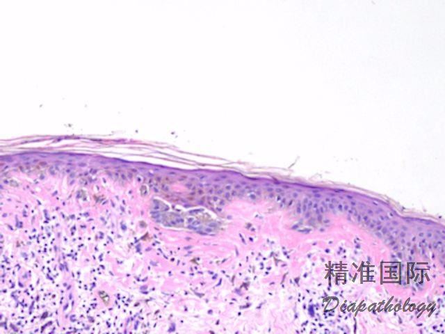
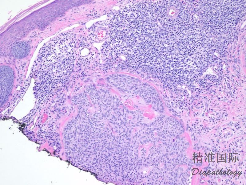
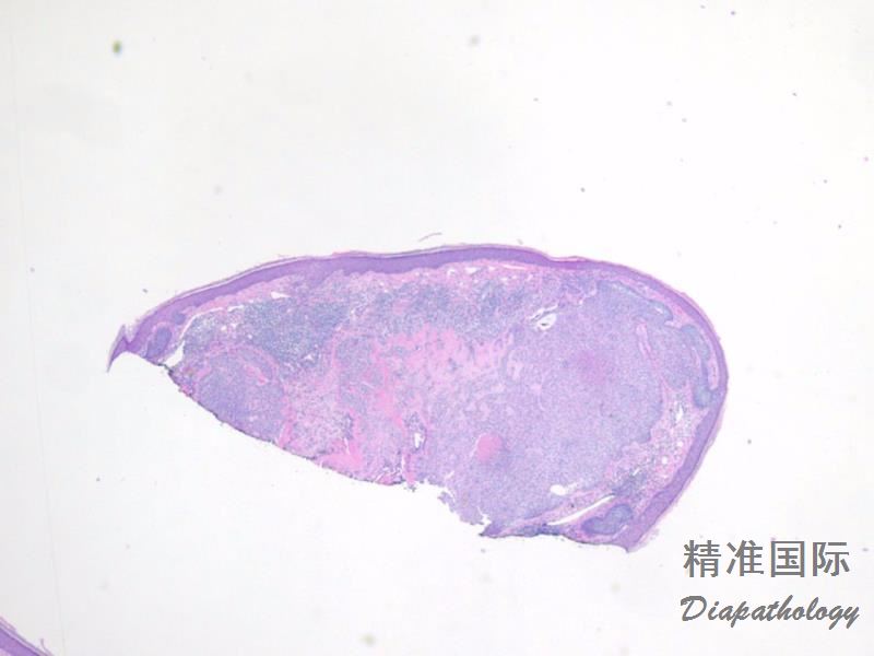
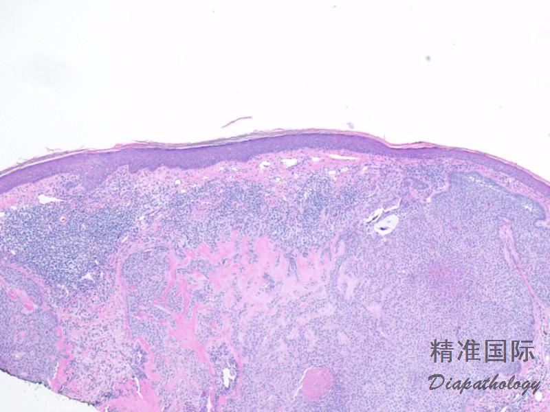
  1. 生长缓慢,呈现一硬斑,中央萎缩凹陷;

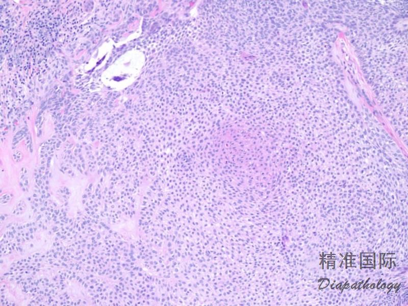
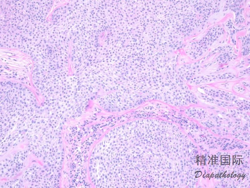
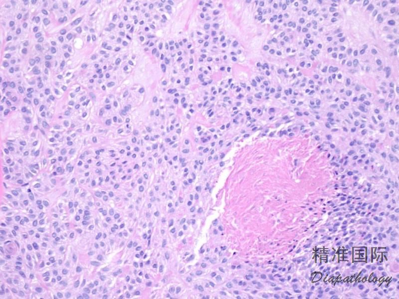
  2. 肿瘤以出现细基底样上皮细胞索、角质囊肿和致密的纤维间质三联征为特征;

  3. 基底样细胞小。核呈卵圆形,胞浆少,无明显异型性;

  4. 角质囊肿多见,有的较大,常见钙化;

  5. 间质有大量致密的胶原纤维。

鉴别诊断:

  1. 硬化性基底细胞癌: 无角质囊肿,瘤团和间质间有裂隙。

  2. 微囊肿性附属器癌:肿瘤中有导管结构,且向深部呈浸润性生长。