日光性角化病

Actinic Keratosis

概述:

日光性角化病是一种与日光或其他辐射有关的非浸润性表皮角质形成细胞的异型增生,代表了皮肤鳞状细胞癌的主要前驱病变。

发病部位: 头、颈部和上肢

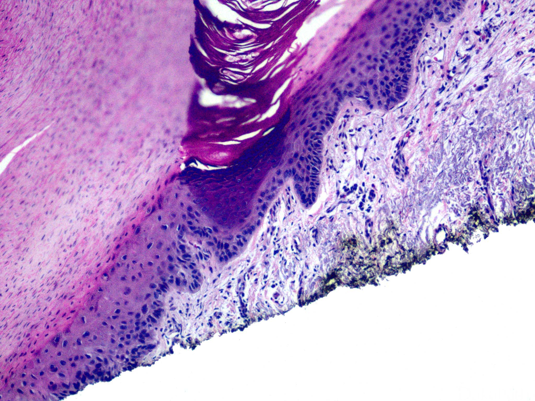
诊断要点:

  1. 常见于中老年,好发于头、颈部和上肢,表现为有鳞屑的红斑;

  2. 有多种组织学亚型,其共同特征为表皮基底细胞层见异型的角质形成细胞,近皮肤表面可见到成熟的角质形成细胞并伴有角化过度;

  3. 基底层角质形成细胞胞核增大,细长,深染,核拥挤或重叠,棘层角质形成细胞胞质常呈苍白色,可伴有角质层角化不全;

  4. 病变早期特征性标志位角质层中呈横向分布的角化不全和正型角化交替出现;而毛囊或汗管末端部分上方仍然可见网篮状鳞屑,皮肤附属器角质形成细胞无异型性;

  5. 病变后期表皮通常增厚,但也可变薄、萎缩,非典型角质形成细胞可出现于毛囊漏斗或末端汗管的基底细胞层或其上方,也可出现于表皮的棘细胞层;真皮浅层的特征表现为弹性纤维变性并常伴有血管扩张;

  6. 组织学亚型:

  7. 增生型或肥厚型日光性角化病:基底层的异型角质形成细胞向下形成多个细长的上皮脚样突起,这些突起常累及皮肤附属器结构;角质层常明显增厚,交替出现正型角化不全和过度不全角化;颗粒细胞层增厚;真皮乳头血管扩张、纤维化或出血;

  8. 色素性日光性角化病:表皮角质形成细胞内黑色素颗粒增加和/或真皮浅层的巨噬细胞内色素沉积;

  9. 苔藓样型日光性角化病:可见以淋巴细胞为主的带状炎症细胞浸润;

  10. 棘层松解型日光性角化病:细胞黏附性下降,表皮内可见裂隙,尤其是在基底细胞层非典型角质形成细胞和棘细胞层中异型性较小或正常成熟的棘细胞之间裂隙多见;

  11. 随着病程进展,棘细胞层中上部,甚至颗粒细胞层也可见到局灶性异型细胞,当日光性角化病背景中出现全层的重度异型增生时可诊断为鳞状细胞原位癌。

鉴别诊断:

  1. 脂溢性角化病 :无基底层角质形成细胞的异型性,角质层常呈网篮状。

  2. 汗孔角化病 :无基底层角质形成细胞异型性,可见圆锥形板层。

  3. 苔藓样角化病 :无基底层角质形成细胞异型性,总会伴带状炎症细胞浸润。

  4. 日光性雀斑痣 :角质形成细胞无异型性。

  5. 原位黑色素瘤 :具有增生的非典型黑色素细胞,免疫组织化学染色 S100. melan-A、HMB45 阳性。

  6. 棘层松解型棘皮瘤 :无角质形成细胞的异型性。

治疗:

病灶削除