脂溢性角化病
Seborrheic Keratosis,SK
发病部位: 面部、头皮、背部、胸部和腹部
诊断要点:
中老年病人多见,可发生在身体除黏膜、手掌和足底的任何部位,典型病变表现为边界清楚贴附于皮面的丘疹或斑块,粉红色至棕褐色
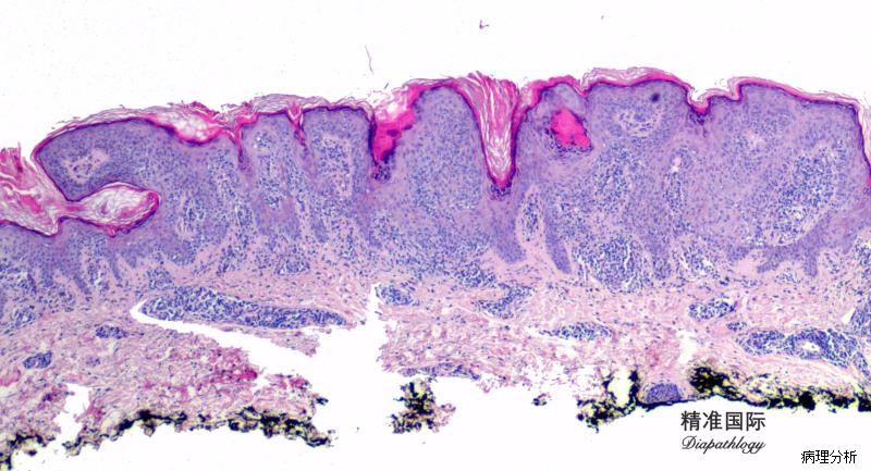
大体形态可表现为扁平状、外生性、内生性型,病变边界往往非常清楚;
组织结构主要有以下特征:网篮状角化过度、单一的角质形成细胞、互相吻合的宽窄不一的上皮脚、充满角蛋白的凹陷和小的角囊肿、角化珠,表面可呈乳头瘤样增生;
根据组织形态不同可分为以下几个亚型:
经典的棘层肥厚型脂溢性角化病:病变界限清楚,上皮脚增宽并互相吻合,常见网篮状角化过度和假性角囊肿;
网状型脂溢性角化病:由细长的上皮束互相连接形成的纤细网状结构;
激惹型脂溢性角化病:基底细胞层可有明显的“鳞状化生”,基底角质形成细胞呈现棘层角质形成细胞的表现,具有更多嗜酸性胞质;增生的角质形成细胞可呈梭形、巢状“克隆性"模式;可有细胞异型,表现为核稍增大,染色质淡,核仁明显;可以见到多核的角质形成细胞及较多灶性角化不全;可见海绵水肿、苔藓样反应等;
角化过度型脂溢性角化病:常呈外生性生长,角质层明显增厚,其下方的表皮常呈乳头瘤状增生;
疣状/指状脂溢性角化病:呈乳头瘤样形态,类似于疣,可见假性角质囊肿,宽的互相吻合的上皮脚;
反转性毛囊角化病型脂溢性角化病:病变通常呈小叶状,内生性生长,常累及毛囊漏斗,巢状分布的强嗜酸性角质形成细胞呈旋涡状排列(鳞状旋涡)构成肿瘤的主要成分;
色素性脂溢性角化病:上述的任何一种生长方式均可伴色素沉积,黑色素可存在于角质形成细胞和(或)真皮巨噬细胞;
黑棘皮瘤型色素性脂溢性角化病:表皮内,主要是棘细胞层可见散在的,有时呈多个孤立的黑色素细胞灶,呈分支状,细胞分化良好,形态温和。

鉴别诊断:
1. 表皮痣: 表皮痣幼年发病,而脂溢性角化病中老年发病;
2. 日光性角化病 :日光性角化病通常可见基底层角质形成细胞胞核增大深染、拉长和重叠,并可见更明显的角化不全。
3. 寻常疣 :表皮呈非常尖锐的乳头瘤样突起伴有细长的柱状角化不全、真皮乳头血管增生伴毛细血管襻扩张扭曲,并常见有核周空晕的挖空细胞。