A 型胸腺瘤
Type A Thymoma
同义词(或曾用名): 梭形细胞胸腺瘤,髓质胸腺瘤(不建议使用)、非典型 A 型胸腺瘤
概述:
起源于胸腺上皮的肿瘤,有梭形或卵圆形细胞构成,组织形态多样,细胞异型不明显,混有少量不成熟淋巴细胞。
发病部位: 前纵膈,异位发生少见
诊断要点:
- 发病年龄广泛(8-88 岁),平均发病年龄 64 岁,无性别差异;
- 平均 17%病人表现为重症肌无力,少数伴发纯红细胞再生障碍性贫血。其它表现为与肿块有关的症状,影像学检查偶尔发现;
- 影像学检查肿瘤周边光滑,界限清楚;FDG PET-CT 显示低 FDG 吸收;
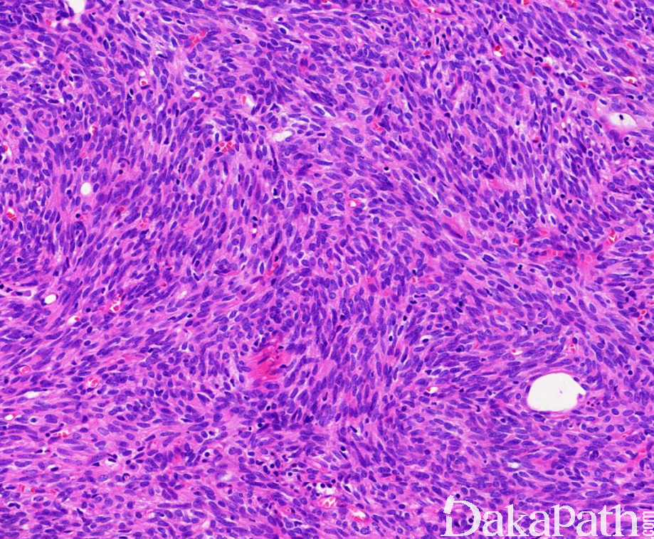
- 大体检查:肿瘤界限清楚,或有包膜,切面浅褐色或白色,质地较均匀,模糊的分叶状,有些病例可见囊性变;
- 低倍镜下肿瘤具有完整或不完整的纤维性包膜,可由粗的纤维带分隔成小叶,部分病例可见微囊,多位于被膜下区域;
- 肿瘤细胞可形成多种形态结构。包括菊型团(可伴或不伴中心腔隙)、腺管状、肾小球样、囊内 Masson 血管瘤样乳头状突起,也可呈旋涡状、束状、席纹状等排列。同一肿瘤可见多种形态混合。
- 常见血管外皮瘤样结构,血管周围裂隙比其它类型胸腺瘤少见;
- 无胸腺小体;
- 肿瘤细胞形态温和,梭形或卵圆形,核圆形或卵圆形,染色质细粉尘状,核仁不明显;
- 有些病例部分细胞呈多角形,但核仍为一致的圆形,染色质与梭形细胞相似,呈细粉尘状,核仁不明显;
- 核分裂像少见,通常<4/2mm2,;
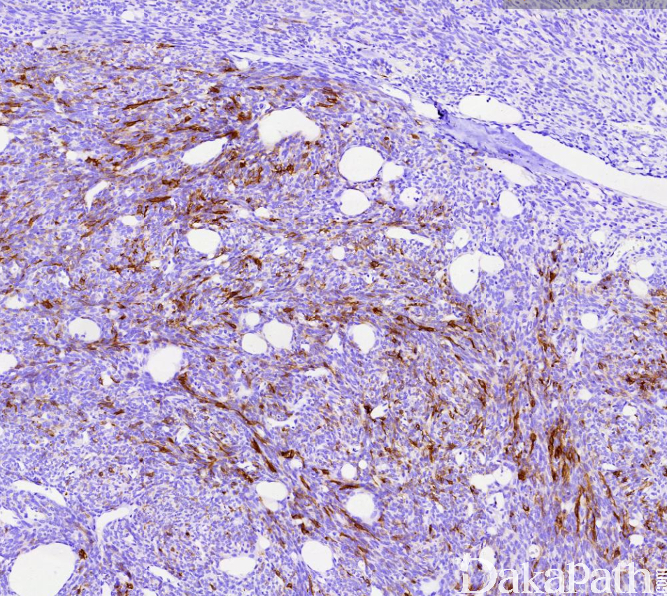
- 整个肿瘤无或仅少量(很容易数清)不成熟 T 淋巴细胞(TdT 阳性 T 淋巴细胞),如果出现不成熟淋巴细胞致密区或超过 10%的区域有中等量不成熟 T 淋巴细胞就应诊断为 AB 型,而不应该诊断为 A 型胸腺瘤。
注意: A 型胸腺瘤不同于其它类型胸腺瘤的两个特点是无明显核异型的梭形或卵圆形(少数为多角形)上皮细胞占明显优势,整个肿瘤缺乏或很少不成熟 T 细胞。
非典型 A 型胸腺瘤 (Atypical Type A Thymoma)
个别 A 型胸腺瘤显示一定程度异型,如细胞密度增加、核分裂像增多,局灶坏死等,但这些形态学特征的临床意义不明确。

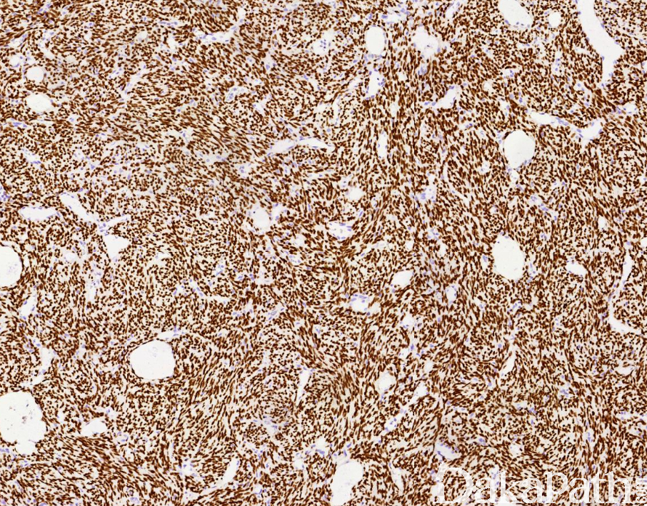
免疫组织化学染色:
A 型胸腺瘤 AE1 与 p63 强阳性,而 AE3 阴性;CK20 总是阴性,其它角蛋白与 EMA 表达不一。胸腺上皮标记 PAX8. FOXN1. CD205 阳性,肿瘤性上皮常异常表达 CD20,这点对诊断有帮助,但一般为灶状表达,小标本会遗漏。
A 型胸腺瘤一般不表达髓质和皮质分化标记如 CD40. claudin4. AIRE(autoimmune regulator)、HLA II 型抗原和 thymoproteasome;有些病例表现为终端上皮分化(局灶表达 involucrin 和 CK10);缺乏 CD20 阳性 B 细胞。
A 型胸腺瘤 CD5. CD117 阴性,有助于和胸腺癌鉴别。
鉴别诊断:
AB 型胸腺瘤 :存在不成熟淋巴细胞致密区或超过 10%的区域有中等量不成熟 T 淋巴细胞就应诊断为 AB 型,而不应该诊断为 A 型胸腺瘤。
梭形细胞B3 型胸腺瘤 :梭形细胞 B3 性胸腺瘤可见显著的血管周间隙,而 A 型没有;相反,出现菊型团、腺样结构、血管外皮瘤样结构则支持 A 型胸腺瘤的诊断;另外上皮细胞 CD20 阳性(局灶)支持 A 型胸腺瘤;泡状核、核仁明显支持 B3 型胸腺瘤的诊断;而细粉尘状染色质,无核仁支持 A 型胸腺瘤的诊断。
梭形细胞胸腺癌 :细胞异型明显,浸润性生长及 CD5. CD117 阳性,缺乏 TdT 阳性 T 淋巴细胞等可与 A 型鉴别。
类癌 :A 型胸腺瘤具菊型团结构时应与类癌鉴别,后者表达神经内分泌标记可加以鉴别。
孤立性纤维性肿瘤:表达 CD34. STAT6,不表达 P63 等可与 A 型胸腺瘤鉴别。
滑膜肉瘤:P63 阴性,TLE1 阳性等可与 A 型胸腺瘤鉴别。