血管球瘤
GlomusTumor,GT
概述:
是一种由类似正常血管球变异平滑肌细胞所组成的间叶性肿瘤。
发病部位: 四肢、眼睑、面部、鼻腔、气管、肺、纵隔、胸壁、腹壁、食道、胃、结直肠、胰腺、肠系膜、宫颈、阴道、阴唇、卵巢、阴茎、尿道旁、神经和骨等。
诊断要点:
多发生于 20~40 岁之间的中青年,起源于血管球体,正常情况下多见于手和手指以及骶尾部。血管球瘤好发于肢体远端的动静脉吻合支,尤其是甲下,通常感疼痛;
组织学可分为三种类型:
固有球瘤:
界限清楚,由毛细血管性小血管和围绕血管生长的成片瘤细胞组成;
瘤细胞呈规则的圆形,细胞边界清晰,胞质淡染透明状或呈淡嗜伊红色,核圆形,位于细胞中央;
间质呈透明样或黏液样;
球血管瘤(glomangioma):
肿瘤界限不清;
血管多为扩张的海绵状血管,血管腔内可有血栓或静脉石形成;
球细胞簇少而菲薄;
球血管肌瘤(glomangiomyoma):
由球细胞和平滑肌两种细胞成分围绕扩张的血管生长;
球细胞与平滑肌细胞相互之间有过渡现象;
弥漫性或多灶性生长者称为球血管肌瘤病;
部分病例瘤细胞的胞质可呈嗜酸性,也称嗜酸性血管球瘤;
少数病例瘤细胞呈上皮样,也称上皮样血管球瘤;
个别病例瘤细胞核退变,具有明显的异型性,不见核分裂像及坏死,可称为奇异性血管球瘤;
在 2013 年的 WHO 软组织分类标准中,恶性血管球瘤的诊断标准需要满足(1)明显的核不典型性和任何水平的核分裂象 或者(2)存在非典型核分裂象。当肿瘤的组织学表现不满足上述诊断恶性的标准但存在至少 1 个不典型特征(如瘤体> 2cm,核分裂象增多,部位深等)时,宜称为“恶性潜能未定的血管球瘤”。

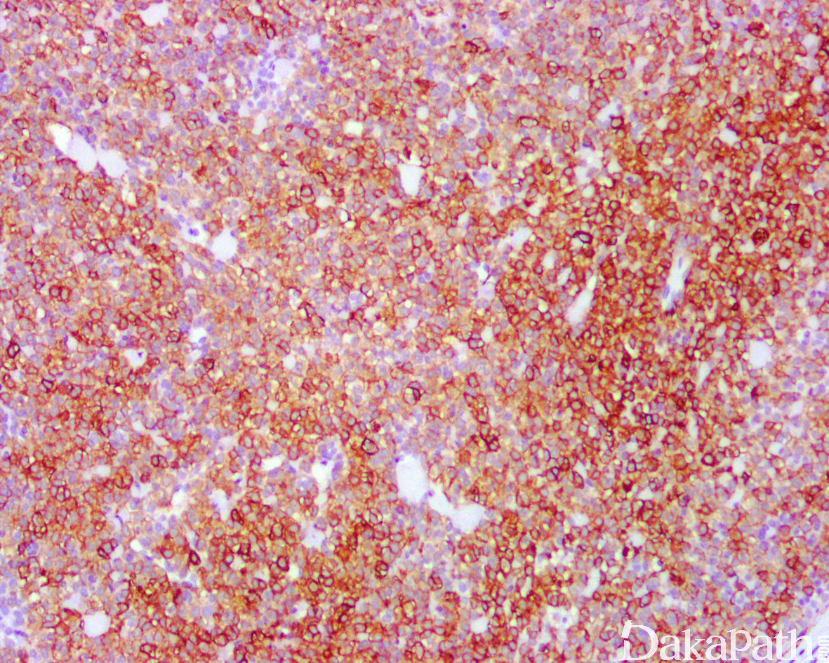
免疫组织化学染色:
α-SMA、MSA、h-caldesmon、calponin、vimentin 和 Ⅳ 型胶原阳性,部分病例 CD34 阳性,desmin、AE1/AE3 和 S100 阴性。
分子标记:
部分散发性 GT:BRAF(V600 E)和 KRAS(G12A)突变
鉴别诊断:
汗腺瘤及皮内痣:汗腺瘤可见汗管分化,肿瘤细胞无围绕血管排列的特征,CK,EMA 阳性,VIM,SMA 阴性。皮内痣细胞浆内见黑色素,核内假包涵体,S1OO,HMB45,MelanA 阳性,SMA 阴性。
血管平滑肌瘤:血管壁较厚,瘤细胞梭形,胞浆嗜酸,呈束状排列围绕血管,SMA,MSA,DES,H-caldesmon 阳性,而血管球瘤 DES 阴性。
预后:
普通型血管球瘤为良性肿瘤,恶性血管球瘤具有较高的复发和转移潜能
治疗:
局部完整切除
参考文献:
Mravic M et al: Clinical and Histopathological Diagnosis of Glomus Tumor: An Institutional Experience of 138 Cases. Int J Surg Pathol. ePub, 2015
Kumar MG et al: Glomus tumors in individuals with neurofibromatosis type 1. J Am Acad Dermatol. 71(1):44-8, 2014
Mosquera JM et al: Novel MIR143-NOTCH fusions in benign and malignant glomus tumors. Genes Chromosomes Cancer. 52(11):1075-87, 2013
Yanai T et al: Immunohistochemical demonstration of cyclooxygenase-2 in glomus tumors. J Bone Joint Surg Am. 95(8):725-8, 2013
Chakrapani A et al: BRAF and KRAS mutations in sporadic glomus tumors. Am J Dermatopathol. 34(5):533-5, 2012
Sheehan JP et al: Gamma Knife surgery for the management of glomus tumors: a multicenter study. J Neurosurg. 117(2):246-54, 2012
Lamba G et al: Malignant glomus tumor of kidney: the first reported case and review of literature. Hum Pathol. 42(8):1200-3, 2011
Brems H et al: Glomus tumors in neurofibromatosis type 1: genetic, functional, and clinical evidence of a novel association. Cancer Res. 2009 Sep 15;69(18):7393-401. Epub 2009 Sep 8. Erratum in: Cancer Res. 69(20):8216, 2009