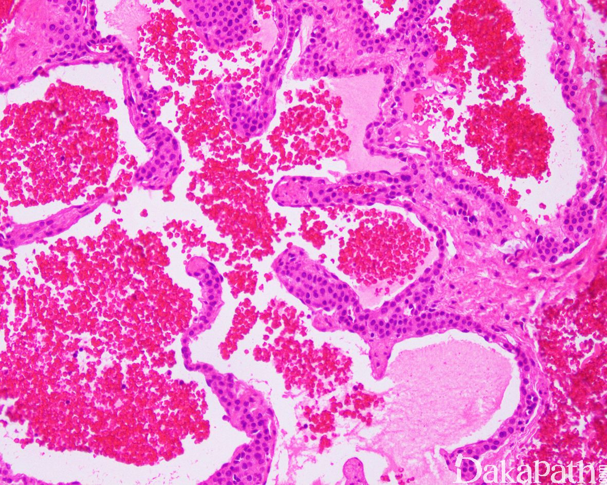
血管球瘤病
Glomangiomatosis
诊断要点:
- 罕见,呈弥漫性生长;
- 总体结构上表现为呈浸润性生长的口径大小不等的血管瘤/弥漫性血管瘤,血管壁内可见血管球瘤样结节生长;
- 形态上缺乏恶性血管球瘤或恶性潜能未定血管球瘤的标准,仍为良性肿瘤。

免疫组织化学染色:
同血管球瘤
鉴别诊断:
预后:
切除不尽易复发,无转移潜能
治疗:
完整切除
病例报道:
Glomangiomatosis** : a case report.
Fitzhugh VA, Beebe KS, Wenokor C, Blacksin M.
Skeletal Radiol. 2017 Oct;46(10):1427-1433. doi: 10.1007/s00256-017-2697-3. Epub 2017 Jun 27. 参考文献:
Clinical and histopathological diagnosis of glomus tumor: an institutional experience of 138 cases.
Mravic M, LaChaud G, Nguyen A, Scott MA, Dry SM, James AW.
Int J Surg Pathol. 2015 May;23(3):181-8. doi: 10.1177/1066896914567330. Epub 2015 Jan 22. Review.
Glomangiomatosis** of the sciatic nerve: a case report and review of the literature.
Kumar R, Vu L, Madewell JE, Herzog CE, Bird JE.
Skeletal Radiol. 2017 Jun;46(6):807-815. doi: 10.1007/s00256-017-2594-9. Epub 2017 Mar 17. Review.
← 肌周细胞瘤 鼻窦鼻腔球血管周细胞瘤 →