滑膜软骨瘤病
Synovial Chondromatosis
同义词(或曾用名): 滑膜软骨化生
概述:
关节滑膜、腱鞘或滑膜囊的透明软骨的良性多结节状增生,倾向局部复发。
发病部位: 膝关节最常见,臀部、肘部及肩关节亦常见,亦可出现颞颌关节。关节旁软组织亦可发生。
诊断要点:
罕见,发病年龄高峰约 40-50 岁,男女发病之比约 2:1,临床表现为痛性或无痛性肿物,关节活动范围受限。
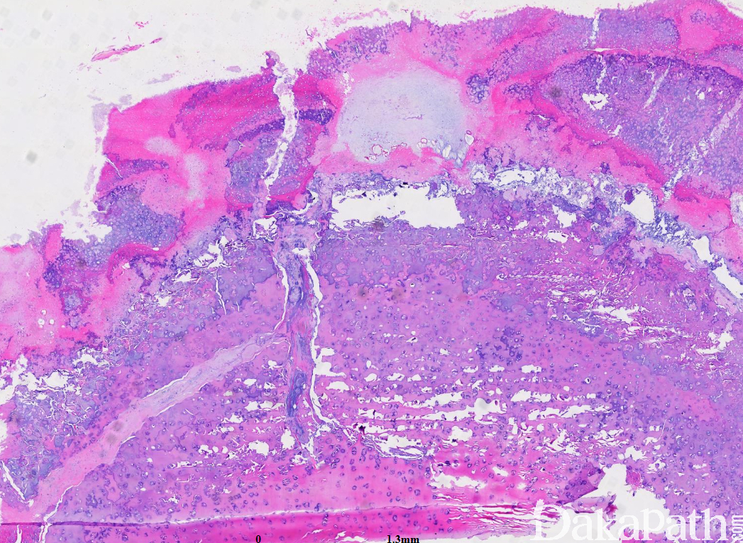
大体上可见多个小的软骨结节,直径 0.1-1 cm,可融合成大结节,滑膜的弥漫性病变及分散的游离体,陈旧性病变可见骨化性结节,可腐蚀邻近骨组织。
组织学上显示多发性透明软骨结节,结节位于扁平滑膜之下。
软骨细胞呈小簇状排列分布于软骨基质之中,双核多见,部分病变可见轻度的细胞不典型性及细胞密度增加,无核分裂象。
软骨样基质局灶黏液样,常见钙化,部分病变钙化显著,罕见出现软骨内骨化。

免疫组织化学染色:
软骨细胞表达 S100 蛋白,Ki67 增殖指数低
分子标记:
常见 6 号染色体异常
鉴别诊断:
骨软骨游离体 :不同程度的同心性层状钙化/骨化性软管,伴退行性关节病、外伤及剥脱性骨软骨炎。
软组织软骨瘤 :缺乏多结节状结构,趋于手、足发病。
关节旁软骨瘤 :缺乏多结节状结构,常见广泛性骨化,多数位于髌下。
滑膜软骨肉瘤 :极其罕见,可能原发或来自滑膜软骨瘤病,缺乏簇状生长,显著黏液样基质,可见坏死及周围的梭形细胞区域。
预后:
可局部复发,极罕见可发生恶性转化
治疗:
滑膜或病变组织切除。
参考文献:
Sviland L, Malcolm AJ. Synovial chondromatosis presenting as painless soft tissue mass—a report of 19 cases. Histopathology. 1995;27:275–279. Unni K, Inwards C, Bridge J, et al. Tumors of the Bones and Joints. Washington, DC: Armed Forces Institute of Pathology; 2005. Buddingh EP, Krallman P, Neff JR, et al. Chromosome 6 abnormalities are recurrent in synovial chondromatosis. Cancer Genet Cytogenet. 2003;140:18–22.