软组织软骨瘤
Soft tissue chondroma
同义词(或曾用名): 骨外软骨瘤(extraskeletal chondroma)
概述:
软组织软骨瘤(soft tissue chondroma)是一种发生于骨外和滑膜外软组织特别是手足部位的良性软骨肿瘤,主要由成熟的透明软骨组成。
发病部位: 远端肢体,特别是手指,也可发生于大关节附近,罕见于头颈部或躯干等部位。
诊断要点:
多发生于 30~60 岁成年人,儿童很少发生。 主要位于手足部位的软组织内,与骨无关系。临床上表现为缓慢性生长的孤立性结节或肿块,无痛,常与腱膜、腱鞘或关节囊相连。
X 线显示结节境界清楚,不累及骨,常见分散的、不规则的、指环样或曲线状钙化。
大体检查肿瘤周界清晰,圆形或卵圆形,质地坚硬。瘤体较小,直径多<3cm,中位直径 1.6cm。
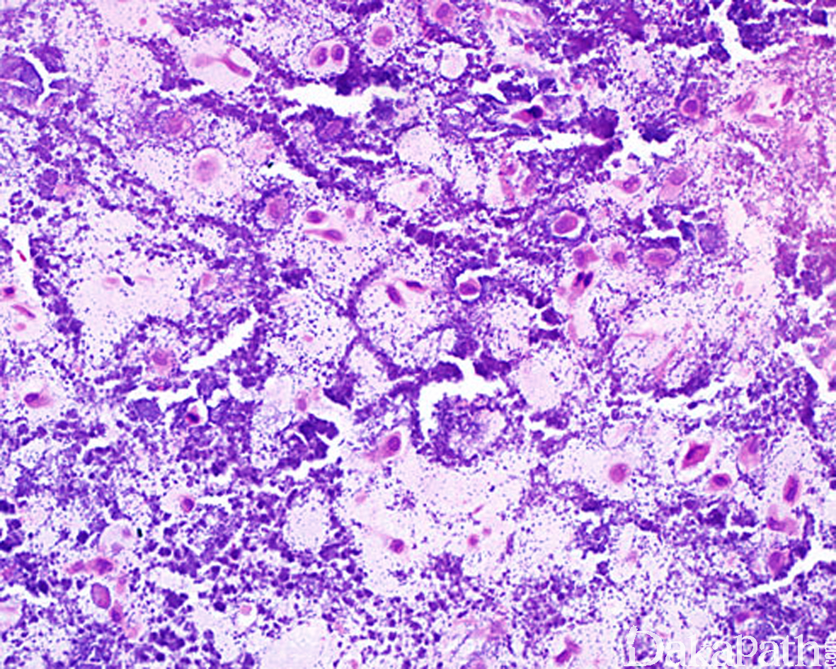
低倍镜下大多数病例由排列成分叶状的成熟性透明软骨组成,部分病例可伴有纤维化、钙化、骨化或黏液样变性,有时候钙化非常明显使得基础的软骨病变难以察觉。与正常的透明软骨相比,软组织软骨瘤的瘤细胞相对较丰富,可类似于 I 级软骨肉瘤的细胞学特征,无细胞的非典型性,无增多的核分裂象;
一些病例内软骨细胞相对较为丰富,且细胞体积较大,可见核沟或核裂,含有多少不等的软骨样基质,常见围绕软骨细胞的钙化,肿瘤内常可见散在分布的破骨样巨细胞,形态上类似软骨母细胞瘤,也称软骨母细胞瘤样软骨瘤(chondroblastoma-like chondroma)。

免疫组织化学染色:
瘤细胞表达 S-100 蛋白和 ERG。
分子标记:
12q13-15 重排、+5、11 号染色体和 HMGA2 异常
鉴别诊断:
1. 钙化性腱膜纤维瘤:由胖梭形细胞栅栏状围绕软骨或点状钙化灶周围为其特征而与软骨瘤不同。
2. 肿瘤性钙盐沉着症:病变中央为无定形或颗粒状钙化物而非软骨;
3. 骨旁软骨瘤 : X 线显示病变位于骨表面,以射线可透性为主,可见点状钙化,边缘界限清楚,下方的皮质表面被侵蚀,肿瘤周围可见厚的成熟的反应性骨膜骨;
假性痛风(瘤样焦磷酸钙沉积);多见于腕关节,可见软骨化生,间质可见菱形结晶样物质沉积;
软组织肌上皮瘤:可见透明软骨成分,但另见肌上皮成分表达上皮和 S100 蛋白以及 SOX10 等。
治疗:
单纯切除
参考文献:
Cates J M , Rosenberg A E , O'Connell J X , et al. Chondroblastoma-like chondroma of soft tissue: an underrecognized variant and its differential diagnosis[J]. American Journal of Surgical Pathology, 2001, 25(5):661-6.
← 滑膜软骨瘤病 鼻腔软骨间叶性错构瘤 →