乳腺乳头状大汗腺增生
Breast Papillary Apocrine Hyperplasia
同义词(或曾用名): 乳头状大汗腺改变(Papillary Apocrine Change)、乳头状大汗腺化生(Papillary Apocrine Metaplasia)
概述:
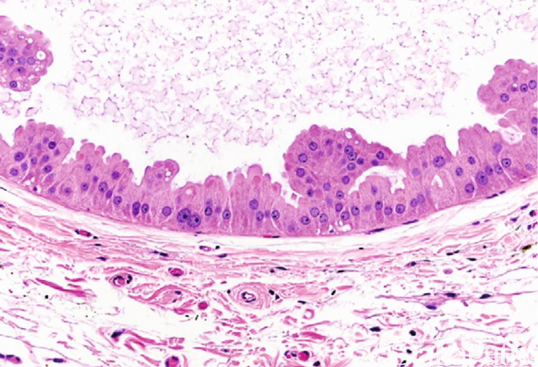
大汗腺囊肿的被覆上皮出现乳头状结构或上皮细胞簇。
发病部位: 乳腺
诊断要点:
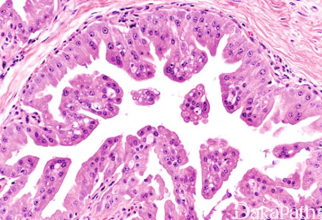
乳头状大汗腺增生的形态学有 3 种类型:
简单型:大汗腺囊肿衬覆的上皮局灶增生细胞达 3 层或 3 层以上,形成小丘状细胞团,细胞团的基部比顶部宽,在囊腔内常不相互接触;
复杂型:乳头较高,顶端比基部稍宽,在腔内常互相接触,形成分支乳头状;
高度复杂型:乳头细长,2 ~ 3 层细胞宽度,在腔内广泛分布,形成狭长的连拱结构,与其他乳头相互缠绕,此型常伴有不典型大汗腺型导管增生,此时应诊断为乳腺不典型大汗腺型导管增生或乳腺大汗腺型导管原位癌。

免疫组织化学染色:
ER 和 PR 阴性,BCL2 阴性,AR 阳性,常表达 GCDFP-15。病变周围的肌上皮细胞可以减少或完全缺失。
鉴别诊断:
预后:
良性病变;无细胞异型性者,乳腺癌风险未见显著升高。
治疗:
若无其他病变,单独发现者不需要治疗。
参考文献:
乳腺病理活检解读(第 3 版),乳腺病理诊断难点,Rosen's Breast Pathology(3rd Edition)
← 乳腺纤维瘤病样化生性癌 乳腺柱状细胞增生 →