卵巢伴环管状结构的卵巢性索肿瘤
Sex Cord Tumor With Annular Tubules of the Ovary
概述:
为一种少见肿瘤,表现为性索-间质肿瘤中可见明确的简单或复杂的环管结构
发病部位: 卵巢
诊断要点:
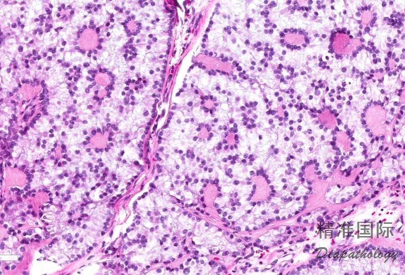
基本特点是由单一散在分布或结节状聚集的简单或复杂的环状小管结构组成;
简单型小管呈环形,细胞核位于外周,围绕中央基底膜样物质构成的透明小体,其间是无核的胞质区,构成环形结构的主要部分,无管腔;
复杂型环形小管数量更多,都是圆形结构,由相通的环形结构围绕着多个透明小体而构成;
有些病例中含有局灶伸长的管状结构,呈 Sertoli 细胞瘤分化,而另一些病例局灶含有 Call-Exner 小体,呈粒层细胞瘤分化;
间质为纤维性伴玻璃样变性,围绕细胞巢,并与细胞巢中央的透明小体连通;
伴 Peutz-JepherS 综合征病例钙化常见,在正常的卵巢间质中散在分布多灶细胞巢。

免疫组织化学染色:
Inhibin、calretinin、WT1 阳性;CK、EMA 阴性。
鉴别诊断:
性腺母细胞瘤(Gonadoblastoma):发病于性腺发育不全患者,可见生殖细胞成分。
支持细胞瘤(Sertoli Cell Tumor):缺乏复杂管状结构,无透明变物质构成的环管状结构的核心。
粒层细胞瘤(Granulosa Cell Tumor):结构更复杂,具有多少不等的滤泡结构,可见 Call-Exner 小体
预后:
伴 PJS 综合征患者预后非常好,其它患者具侵袭性行为,可复发及淋巴结转移。