卵巢硬化性间质瘤

Sclerosing Stromal Tumor of the Ovary

概述:

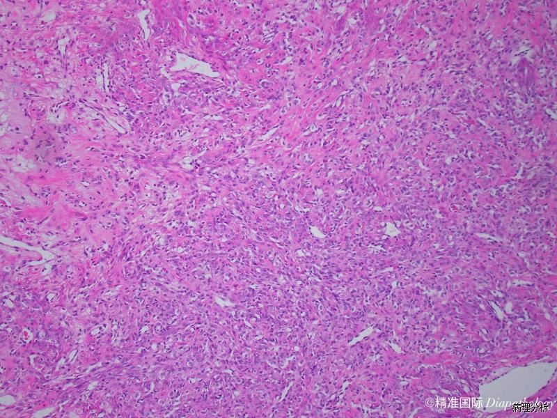
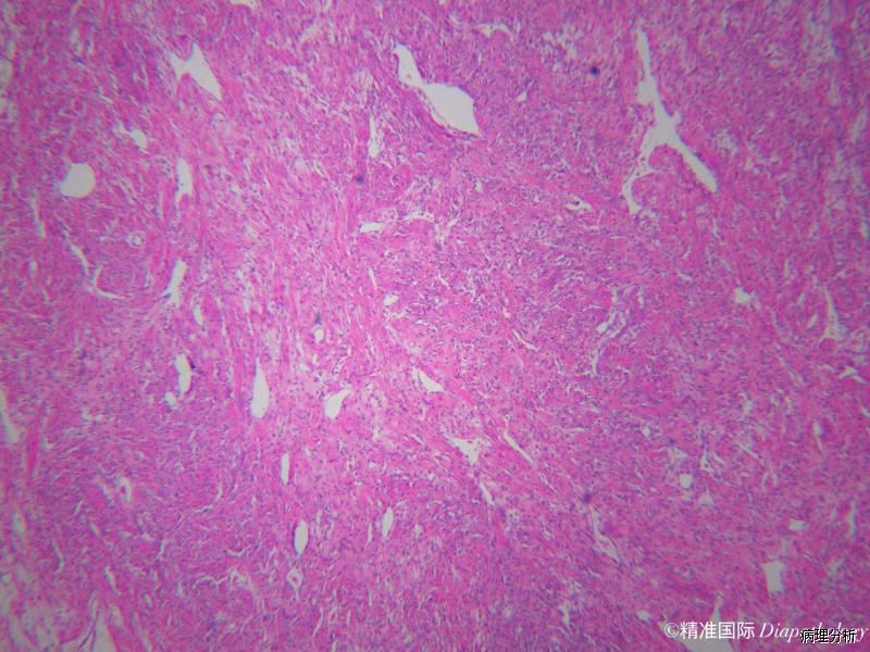
良性肿瘤,表现为在细胞稀疏、水肿或胶原背景上圆形与梭形细胞密集混合增生形成结节。

发病部位: 卵巢

诊断要点:

  1. 常发生于年轻女性,平均发病年龄 27 岁,几乎全为单侧发病,临床表现主要与卵巢肿块有关,很少有激素活性;

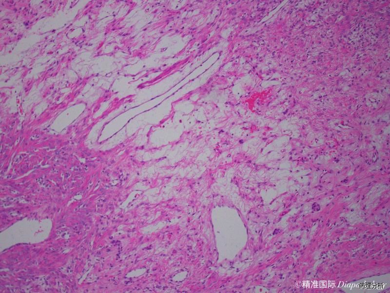
  2. 典型者表现为单侧、孤立性、边界清晰的肿块,常为实性,切面黄色-白色,水肿常见,可伴囊腔形成,极少数标本呈单房囊性;

  3. 典型特征是致密的胶原化或水肿样少细胞区将细胞丰富区分隔成结节状,似分叶状;

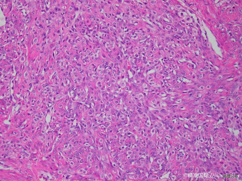
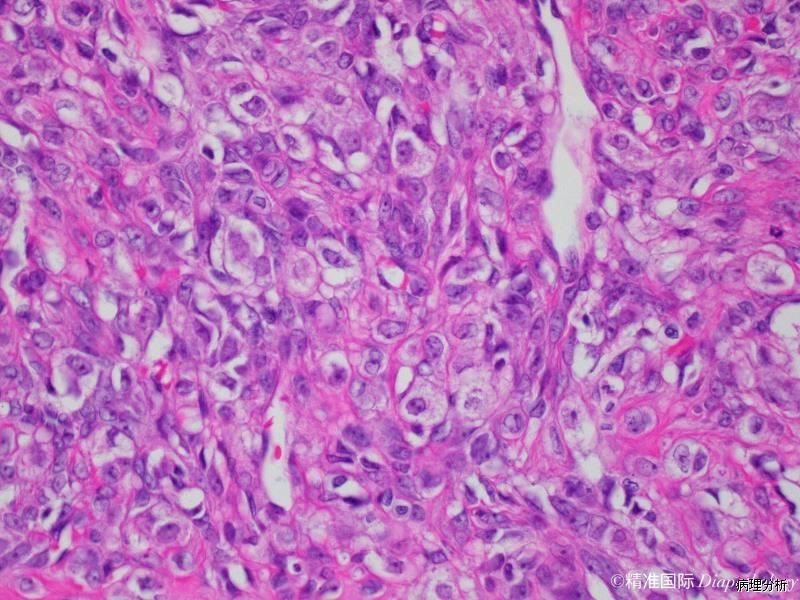
  4. 结节内纤维母细胞和圆形、空泡样、印戒样细胞杂乱无章地分布;

  5. 有时可见含脂细胞,可能是失活的或轻度活化的黄体细胞,在罕见的有功能的硬化性间质瘤中,这种细胞更像黄素化卵泡膜细胞瘤中的细胞;

  6. 结节内可伴有硬化,有些结节内可见明显的薄壁血管;

  7. 个别硬化性间质瘤有明显的黏液样变,其中部分病例卵巢黏液瘤存在形态上的重叠。

鉴别诊断:

纤维瘤

卵泡膜细胞瘤

类固醇细胞瘤

硬化性间质瘤与纤维瘤、卵泡膜细胞瘤和类固醇细胞瘤的比较

硬化性间质瘤

纤维瘤

卵泡膜细胞瘤

类固醇细胞瘤

年龄

平均27岁

10%<30岁

平均年龄63岁

25%<30岁

功能

一般无功能

无功能

一般为雌激素性

一般为雄激素性

大体多彩状

假小叶结构

罕见

罕见

明显的扩张血管

罕见

罕见

罕见

两种细胞类型

仅见于黄素化型

大片透明变性

常见

常见

生物学行为

良性

几乎总是良性

几乎总是良性

有时恶性