卵巢纤维瘤

Fibroma of the Ovary

同义词(或曾用名): 细胞性纤维瘤、核分裂活跃的细胞性纤维瘤

概述:

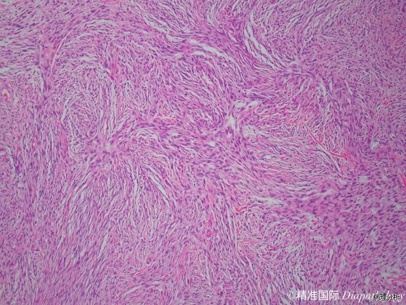
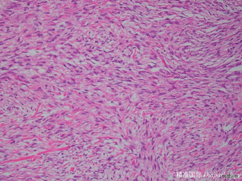
由产胶原的梭形或卵圆形纤维母细胞构成的卵巢良性间质肿瘤。

发病部位: 卵巢

诊断要点:

  1. 梭性细胞束交叉排列,常呈席纹状;

  2. 细胞密度不等,多数具中等细胞密度,无核异型,核分裂像少见,<4 个/10HPF;

  3. 细胞质常见脂质或嗜酸性玻璃样小球;

  4. 常见带状胶原纤维或玻璃样变斑块;

  5. 10%的病例细胞密集丰富,仅见少量胶原纤维,这样的病例可称为细胞性纤维瘤,核分裂像可>4 个/10HPF,称为核分裂活跃的细胞性纤维瘤;

  6. 有时可见出血坏死,多数因为扭转造成,不要和肿瘤性梗死混淆;

  7. 一些病例可见局灶或弥漫性钙化,后者多与痣样基底细胞癌综合症有关;

  8. 弥漫细胞间水肿常见;

  9. 少数病例血管丰富;

  10. 有时可见少量(<10%)性索成分或黄素化反应;

  11. 有些病例可见灶状卵泡膜细胞成分,但需根据肿瘤的主要成分来命名。

免疫组织化学染色:

WT1, FOXL2, vimentin, CD56, SF1 阳性;SMA, CD34, desmin, ER, PR 部分阳性; Inhibin 和 calretinin 偶尔局灶阳性

鉴别诊断:

卵泡膜细胞瘤

  1. 细胞具有丰富淡染的胞浆;

  2. 细胞含胞浆内脂质。

巨大卵巢水肿: 水肿的特征性表现为单侧显著细胞间水肿;

纤维瘤病: 表现为间质增生伴丰富的致密胶原纤维沉积。