卵巢小细胞癌,肺型
Ovarian Small Cell Carcinoma, Pulmonary Type
同义词(或曾用名): 小细胞神经内分泌癌;高级别神经内分泌癌
概述:
小细胞癌,类似于肺的小细胞神经内分泌癌
发病部位: 卵巢
诊断要点:
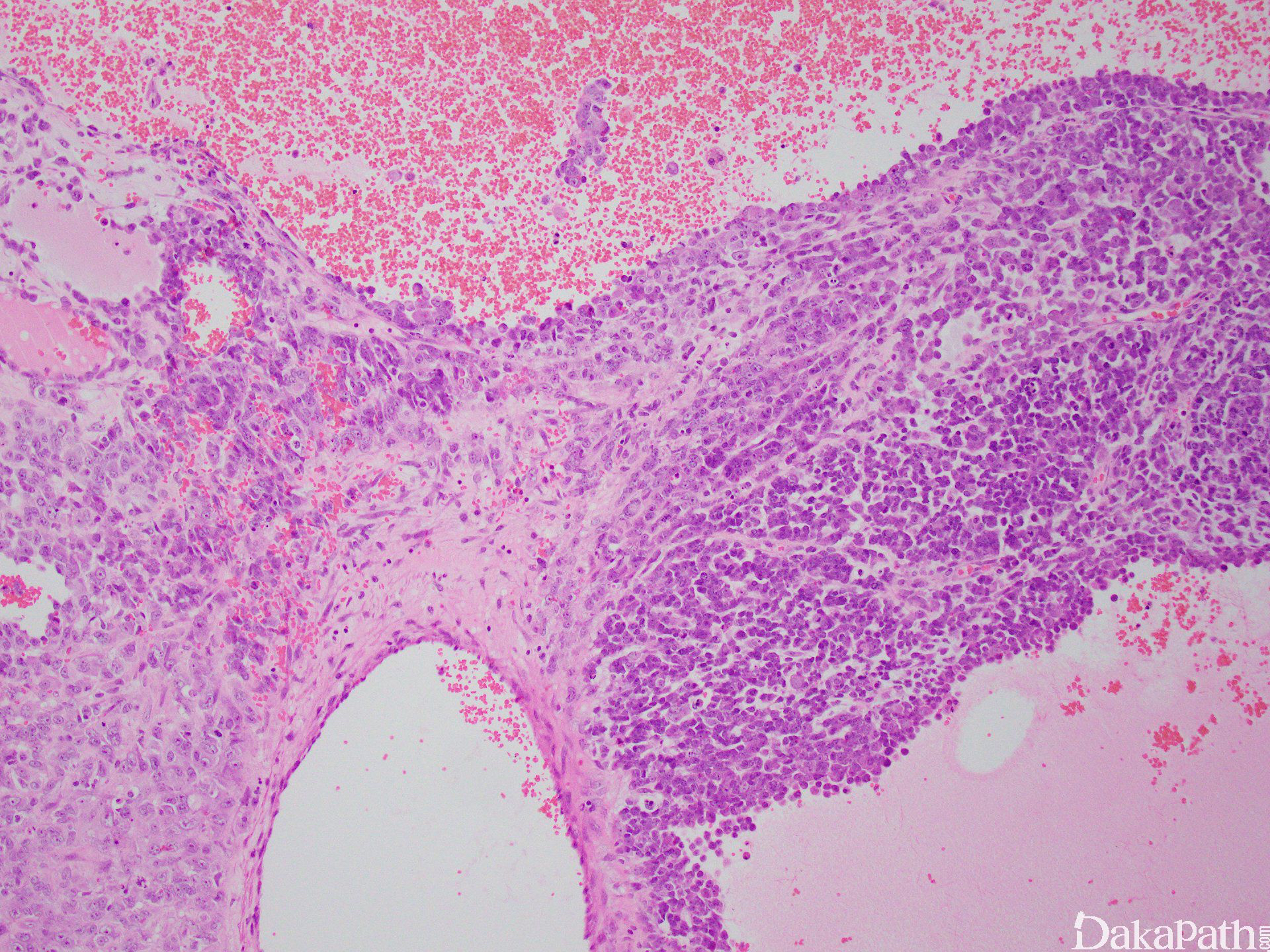
发生于绝经期前后, 40%以上为双侧发生;
肿瘤细胞呈弥漫片状、密集拥挤的巢状分布,有时呈岛状、小梁状、菊型团样及腺样构型;
细胞小或中等大,圆形至短梭形,胞质少,核深染,染色质似胡椒粉状,核分裂像多见, 坏死常见;
多数病例有普通上皮成分如子宫内膜样癌、黏液癌;
少数病例起源于卵巢畸胎瘤;
神经内分泌标记阴性病例,如形态学典型仍可以诊断肺型小细胞癌。

免疫组织化学染色:
多数细胞表达 CK、EMA,神经内分泌标记 CgA、CD56. Syn 等表达不一;少数病例可见 CK20 核周点状阳性,TTF-1 表达不定,vimentin 阴性。
鉴别诊断:
伴高钙血症的小细胞癌:
肺型卵巢小细胞癌患者年龄较大,只见于绝经期前后的女性,无高钙血症;
肺型小细胞癌 40%以上为双侧发生,而高血钙型小细胞癌很少发生在双侧;
组织学上,肺型小细胞癌的细胞具有匀细的染色质和不明显的核仁;而高血钙型小细胞癌的染色质呈块状、有明显的核仁,且 40%的病例存在较大的细胞,胞质丰富、嗜伊红色;
高血钙型常见滤泡样腔,而肺型小细胞癌几乎无此表现;
半数以上肺型小细胞癌可见子宫内膜样肿瘤和 Brenner 瘤的成分,而高钙血症型小细胞癌则没有。
← 卵巢性索-间质肿瘤,非特指型 卵巢腺瘤样瘤 →