卵巢腺瘤样瘤
Adenomatoid Tumor of the Ovary
同义词(或曾用名): 良性间皮瘤
概述:
发生于卵巢的间皮来源的良性肿瘤
发病部位: 卵巢
诊断要点:
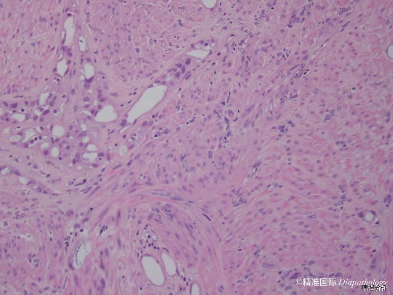
通常体积小,多发生于卵巢门,一般为实性,偶可表现为多囊性;
点状淋巴细胞聚集是低倍镜下诊断线索;
由很多相互连通的腺样或管状结构或梁状、索状、血管瘤样、丛状结构构成,腔内可含有嗜酸性物质;
腺、管腔可能囊性扩张,也可非常小,似印戒细胞样。
特征性的跨管腔的丝状搭桥对诊断具有参考价值;
被覆立方或扁平细胞,胞质通常少,偶尔可含丰富的嗜酸性胞浆;
可有轻微核异型,核分裂像很少或无。

免疫组织化学染色:
间皮细胞标记如 calretinin、CK5/6. WT1. HBME1. 血栓素等阳性。CEA、MOC31. BerEP4. ER、PR 阴性。
鉴别诊断:
1.
:CD34. FVIII 阳性可与腺瘤样瘤鉴别。
2. 黏液性类癌 :神经内分泌标记 CgA、Syn、CD56 等阳性可与腺瘤样瘤鉴别。
3. 印戒细胞癌 :细胞有异型,核分裂活跃,胞浆黏液染色阳性,免疫组织化学染色 EMA, BerEP4 等阳性可与腺瘤样瘤鉴别。
4. 恶性间皮瘤:一般体积较大,细胞异型明显,核分裂活跃等可与腺瘤样瘤鉴别。
预后:
良性,完全切除可治愈
治疗:
局部完全切除