交界痣

Junctional Nevus

概述:

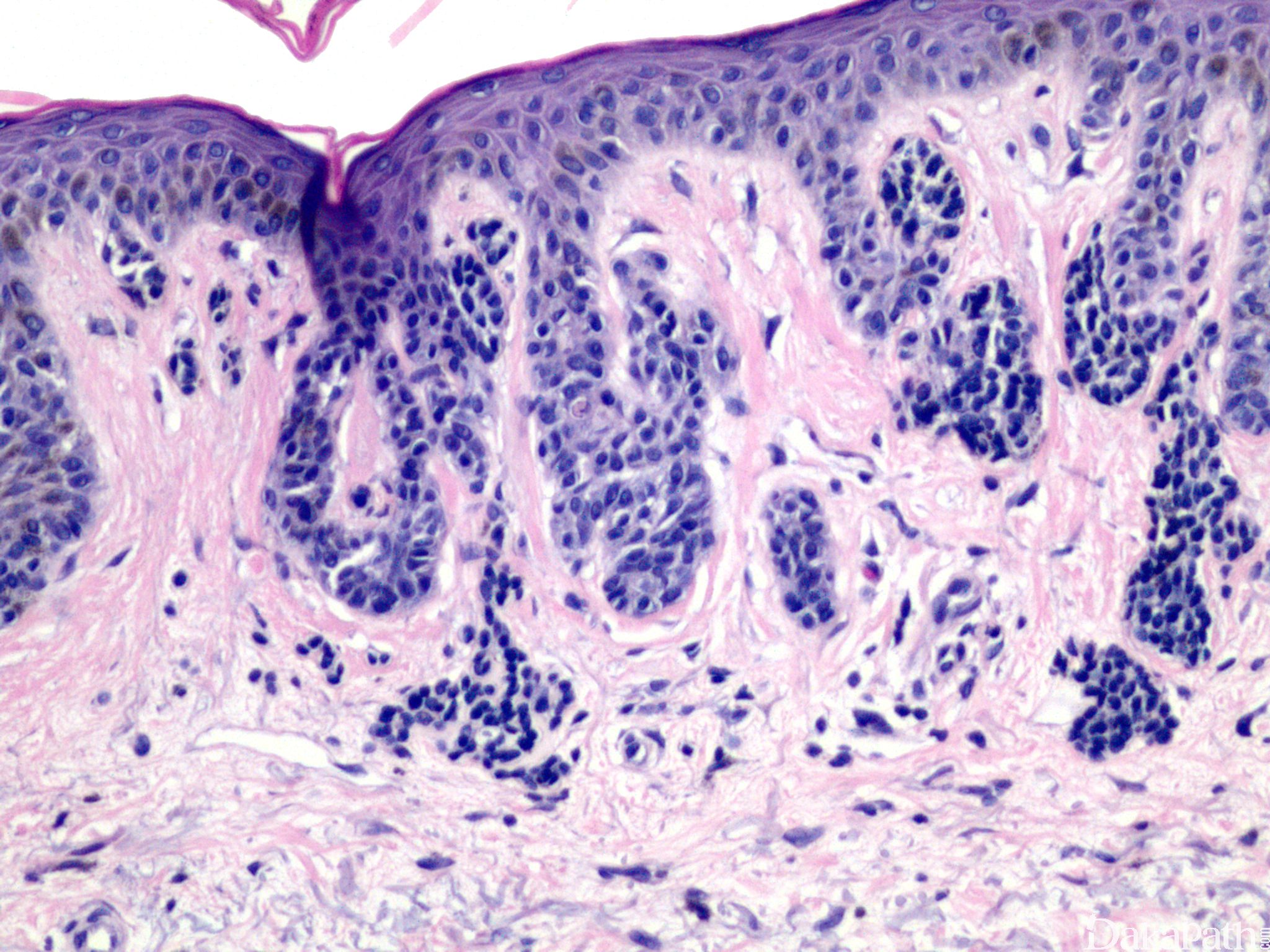
色素细胞增生限于表皮的基底层(与真皮交界处)。

发病部位: 非阳光暴露处,如手掌、脚掌等

诊断要点:

  1. 可发病与任何年龄,儿童多见,常见于非阳光暴露处,如手掌、脚掌等;

  2. 表现为小的、扁平或微隆起的深色病变,无毛发;

  3. 表皮基底层圆形痣细胞巢,常起源于上皮脚尖端,部分表现为水滴样突入真皮;

  4. 多少不等的雀斑样色素细胞增生;

  5. 细胞形态温和,无异型及核分裂像。

鉴别诊断:

雀斑样痣